产品说明
一般描述
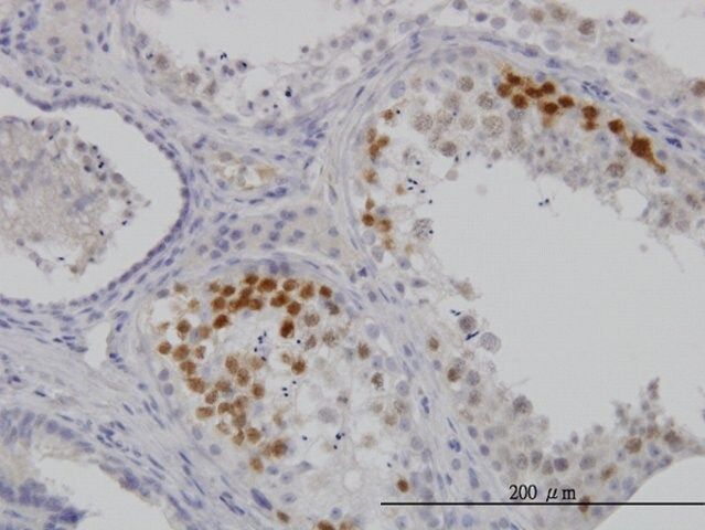
This gene encodes an enzyme that catalyzes the conversion of orthophosphoric monoester to alcohol and orthophosphate. It is synthesized under androgen regulation and is secreted by the epithelial cells of the prostate gland. An alternatively spliced transcript variant encoding a longer isoform has been found for this gene. This isoform contains a transmembrane domain and is localized in the plasma membrane-endosomal-lysosomal pathway. (provided by RefSeq)
免疫原
ACPP (AAH07460, 310 a.a. ~ 418 a.a) partial recombinant protein with GST tag. MW of the GST tag alone is 26 KDa.
Sequence
YASCHLTELYFEKGEYFVEMYYRNETQHEPYPLMLPGCSPSCPLERFAELAGPVIPQDWSTECMTTNSHQVLKVIFAVAFCLISAVLMVLLFIHIRRGLCWQRESYGNI
特点和优势
Evaluate our antibodies with complete peace of mind. If the antibody does not perform in your application, we will issue a full credit or replacement antibody. Learn more.
外形
Solution in phosphate buffered saline, pH 7.4
法律信息
GenBank is a registered trademark of United States Department of Health and Human Services
基本信息
| MDL编号 | MFCD00163953 |
| NACRES | NA.41 |
产品性质
| 质量水平 | 100 |
| 生物来源 | mouse |
| 偶联物 | unconjugated |
| 抗体形式 | purified immunoglobulin |
| antibody product type | primary antibodies |
| 克隆 | 2D11, monoclonal |
| 形式 | buffered aqueous solution |
| species reactivity | human |
| technique(s) | indirect ELISA: suitable |
| 同位素/亚型 | IgG2bκ |
| GenBank® accession no. | BC007460 |
| UniProt登记号 | P15309 |
| 运输 | dry ice |
| 储存温度 | −20℃ |
| Gene Information | human ... ACPP(55) |
安全信息
| 储存分类代码 | 12 - Non Combustible Liquids |
| 闪点(F) | Not applicable |
| 闪点(C) | Not applicable |
| 个人防护装备 | Eyeshields, Gloves, multi-purpose combination respirator cartridge (US) |

Sigma-Aldrich
