产品说明
一般描述
The protein encoded by this gene is a member of the Toll-like receptor (TLR) family which plays a fundamental role in pathogen recognition and activation of innate immunity. TLRs are highly conserved from Drosophila to humans and share structural and functional similarities. They recognize pathogen-associated molecular patterns (PAMPs) that are expressed on infectious agents, and mediate the production of cytokines necessary for the development of effective immunity. The various TLRs exhibit different patterns of expression. This gene is predominantly expressed in lung, placenta, and spleen, and lies in close proximity to another family member, TLR8, on chromosome X. (provided by RefSeq)
免疫原
TLR7 (NP_057646, 27 a.a. ~ 126 a.a) partial recombinant protein with GST tag. MW of the GST tag alone is 26 KDa.
Sequence
ARWFPKTLPCDVTLDVPKNHVIVDCTDKHLTEIPGGIPTNTTNLTLTINHIPDISPASFHRLDHLVEIDFRCNCVPIPLGSKNNMCIKRLQIKPRSFSGL
外形
Solution in phosphate buffered saline, pH 7.4
法律信息
GenBank is a registered trademark of United States Department of Health and Human Services
免责声明
Unless otherwise stated in our catalog or other company documentation accompanying the product(s), our products are intended for research use only and are not to be used for any other purpose, which includes but is not limited to, unauthorized commercial uses, in vitro diagnostic uses, ex vivo or in vivo therapeutic uses or any type of consumption or application to humans or animals.
基本信息
| MDL编号 | MFCD03456044 |
| NACRES | NA.41 |
产品性质
| 质量水平 | 100 |
| 生物来源 | mouse |
| 偶联物 | unconjugated |
| 抗体形式 | purified immunoglobulin |
| antibody product type | primary antibodies |
| 克隆 | 2C9, monoclonal |
| 形式 | buffered aqueous solution |
| species reactivity | mouse, human, rat |
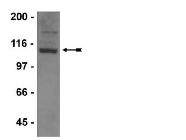
| technique(s) | indirect ELISA: suitable western blot: 1-5 μg/mL |
| 同位素/亚型 | IgG2bκ |
| GenBank® accession no. | NM_016562 |
| UniProt登记号 | Q9NYK1 |
| 运输 | dry ice |
| 储存温度 | −20℃ |
| Gene Information | human ... TLR7(51284) |
安全信息
| 储存分类代码 | 12 - Non Combustible Liquids |
| WGK | nwg |
| 闪点(F) | Not applicable |
| 闪点(C) | Not applicable |
| 个人防护装备 | Eyeshields, Gloves, multi-purpose combination respirator cartridge (US) |

Sigma-Aldrich
