产品说明
一般描述
ZooMAb antibodies represent an entirely new generation of recombinant monoclonal antibodies.
Each ZooMAb antibody is manufactured using our proprietary recombinant expression system, purified to homogeneity, and precisely dispensed to produce robust and highly reproducible lot-to-lot consistency. Only top-performing clones are released for use by researchers. Each antibody is validated for high specificity and affinity across multiple applications, including its most commonly used application. ZooMAb antibodies are reliably available and ready to ship when you need them.
特异性
Clone 2G19 is a ZooMAb® rabbit recombinant monoclonal antibody that specifically detects CD4. It targets an epitope within 18 amino acids from the N-terminal, extracellular domain.
免疫原
KLH-conjugated linear peptide corresponding to 18 amino acids from the N-terminal, extracellular domain of human CD4.
应用
Quality Control Testing
Evaluated by Western Blotting in HL-60 cell lysate.
Western Blotting Analysis: A 1:1,000 dilution of this antibody detected CD4 in HL-60 cell lysate.
Tested Applications
Western Blotting Analysis: A 1:1,000 dilution from a representative lot detected CD4 in THP-1 cell lysate.
Flow Cytometry Analysis: 0.1 μg from a representative lot detected CD4 in one million THP-1 cells.
Affinity Binding Assay: A representative lot of this antibody bound CD4 peptides with a KD of 4.5 x 10-8 in an affinity binding assay.
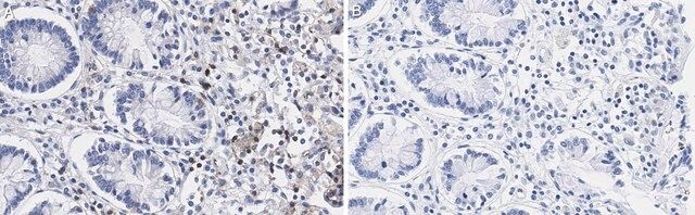
Immunohistochemistry (Paraffin) Analysis: A 1:100 dilution from a representative lot detected CD4 in human spleen and human colon tissue sections.
Immunocytochemistry Analysis: A 1:100 dilution from a representative lot detected CD4 in THP-1 cells.
Note: Actual optimal working dilutions must be determined by end user as specimens, and experimental conditions may vary with the end user
Anti-CD4, clone 2G19 ZooMAb®, Cat. No. ZRB1759, is a recombinant Rabbit monoclonal antibody that targets CD4 and has been tested in Affinity Binding Assay, Flow Cytometry, Immunocytochemistry, Immunohistochemistry (Paraffin), and Western Blotting.
目标描述
T-cell surface glycoprotein CD4 (UniProt: P01730; also known as T-cell surface antigen T4/Leu-3, CD4) is encoded by the CD4 gene (Gene ID: 920) in human. CD4 is a single-pass type I membrane glycoprotein that is highly expressed in T-helper cells and is also found in macrophages, dendritic cells, and NK cells. CD4 is synthesized with a signal peptide (a 1-25), which is subsequently cleaved off to generate the mature form that has an extracellular domain (aa 26-396), a transmembrane domain (aa 397-418), and a cytoplasmic domain (aa 419-458). It has three Ig-like C2-type and one Ig-like V-type domain. CD4 plays an essential role in the immune response and serves multiple functions in response against both external and internal offenses. In T-cells, it functions primarily as a coreceptor for MHC class II molecule:peptide complex. It interacts simultaneously with the T-cell receptor (TCR) and the MHC class II presented by antigen presenting cells and recruits the Src kinase LCK to the vicinity of the TCR-CD3 complex. The LCK can then initiate different intracellular signaling events by phosphorylating various substrates, which lead to lymphokine production, motility, adhesion and activation of T-helper cells. CD4 is also reported to participates in the development of T-helper cells in the thymus and trigger the differentiation of monocytes into functional mature macrophages. CD4 also serves a primary receptor for human immunodeficiency virus-1 (HIV-1). It is removed from plasma membrane by Nef protein of HIV-1, which increases clathrin-dependent endocytosis and lysosomal degradation of CD4. This ZooMAb® recombinant monoclonal antibody, generated by our propriety technology, offers significantly enhanced specificity, affinity, reproducibility, and stability over conventional monoclonals.
外形
Purified recombinant mouse monoclonal antibody IgG, lyophilized in PBS, 5% Trehalose, normal appearance a coarse or translucent resin. Contains no biocide or preservatives, such as azide, or any animal by-products. Larger pack sizes provided as multiples of 25 μL.
重悬
300 μg/mL after reconstitution at 25 μL per vial. Please refer to guidance on suggested starting dilutions and/or titers per application and sample type.
储存及稳定性
Recommend storage of lyophilized product at 2-8℃; Before reconstitution, micro-centrifuge vials briefly to spin down material to bottom of the vial; Reconstitute each vial by adding 25 μL of filtered lab grade water or PBS; Reconstituted antibodies can be stored at 2-8℃, or -20℃ for long term storage. Avoid repeated freeze-thaws.
法律信息
ZooMAb is a registered trademark of Merck KGaA, Darmstadt, Germany
免责声明
Unless otherwise stated in our catalog or other company documentation accompanying the product(s), our products are intended for research use only and are not to be used for any other purpose, which includes but is not limited to, unauthorized commercial uses, in vitro diagnostic uses, ex vivo or in vivo therapeutic uses or any type of consumption or application to humans or animals.
产品性质
| 生物来源 | rabbit |
| 质量水平 | 200 |
| 重组 | expressed in HEK 293 cells |
| 偶联物 | unconjugated |
| 抗体形式 | purified antibody |
| antibody product type | primary antibodies |
| 克隆 | 2G19, monoclonal recombinant monoclonal |
| 产品线 | ZooMAb® learn more |
| 形式 | lyophilized |
| 分子量 | calculated mol wt ~ 51.11 kDa observed mol wt ~ 51 kDa |
| species reactivity | human |
| species reactivity (predicted by homology) | monkey |
| 包装 | antibody small pack of 25 μL |
| 增强验证 | recombinant expression Learn more about Antibody Enhanced Validation |
| technique(s) | affinity binding assay: suitable flow cytometry: suitable immunocytochemistry: suitable immunohistochemistry (formalin-fixed, paraffin-embedded sections): suitable western blot: suitable |
| 同位素/亚型 | IgG |
| 运输 | ambient |
| 储存温度 | 2-8℃ |
安全信息
| 储存分类代码 | 11 - Combustible Solids |
| WGK | WGK 1 |
| 闪点(F) | Not applicable |
| 闪点(C) | Not applicable |

Sigma-Aldrich
