产品说明
一般描述
ZooMAb antibodies represent an entirely new generation of recombinant monoclonal antibodies.
Each ZooMAb antibody is manufactured using our proprietary recombinant expression system, purified to homogeneity, and precisely dispensed to produce robust and highly reproducible lot-to-lot consistency. Only top-performing clones are released for use by researchers. Each antibody is validated for high specificity and affinity across multiple applications, including its most commonly used application. ZooMAb antibodies are reliably available and ready to ship when you need them.
Learn more about ZooMAb here.
特异性
Clone EM22703 is a ZooMAb rabbit recombinant monoclonal antibody that specifically detects human Integrin αVβ3.
免疫原
Recombinant extracellular domains of Integrin alphaV (31-987) and Integrin beta3 (27-718).
应用
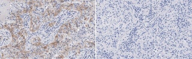
Immunohistochemistry (Paraffin) Analysis: A 1:100 dilution from a represetative lot detected Integrin alphaV beta3 in human melanoma tissue sections.
Immunofluorescence Analysis: A 1:100 dilution from a represetative lot detected Integrin alphaV beta3 in human lung cancer tissue sections.
Flow Cytometry Analysis: 1μg from a represetative lot detected Integrin alphaV beta3 in one million HUVEC.
Immunocytochemistry Analysis: A 1:100 dilution from a represetative lot detected Integrin alphaV beta3 in HUVEC and A549 cells.
Note: Actual optimal working dilutions must be determined by end user as specimens, and experimental conditions may vary with the end user.
Anti-Integrin alphaVbeta3, clone EM22703 ZooMAb, Cat. No. ZRB1190, is a recombinant Rabbit monoclonal antibody that targets Integrin alphaVbeta3 and is tested in Flow Cytometry, Immunocytochemistry, Immunofluorescence, Immunohistochemistry.
目标描述
Integrin αVβ3 (UniProt: P06756/P05106; also known as CD51/CD61) is encoded by the ITGAV/ITGB3 (also known as MSK8, VNRA, VTNR/GP3A) genes (Gene ID: 3685/3690) in human. Integrin alphaV is a single-pass membrane protein that heterodimerizes with a beta subunit. The exact combination of various alpha and beta subunits dictates the binding specificity of integrins to different ECM components. Although both subunits are required for adhesion, the binding specificity primarily depends on the extracellular region of the alpha subunit. Alpha V associates with either beta1, beta3, beta5, beta6, or beta8 in a non-covalent manner. The structural and functional diversity of the integrin family are based upon the pairing abilities of the individual alpha and beta subunits. Integrins are not constitutively active. Activation of an integrin from low ligand-binding affinity state to high ligand-binding affinity state requires conformational change that can originate from either from their cytoplasmic or extracellular interactions. The recognition site for most integrins that bind the ECM consists of an RGD (arginine-glycine-aspartic acid) sequence. Integrins bind to their ligands with low affinity and this binding occurs only when a certain minimum number of integrins are present at specific points known as focal contacts. Integrin alphaV beta3 serves as a receptor for cytotactin, fibronectin, laminin, matrix metalloproteinase-2, osteopontin, osteomodulin, prothrombin, thrombospondin, vitronectin and von Willebrand factor. Both Integrin alphaV and beta3 are single-pass membrane proteins that are synthesized with a signal peptide (aa 1-30 and 1-26, respectively), which is subsequently cleaved off to generate the mature form. Their mature forms contain an extracellular domain (aa 31-992/27-718), a transmembrane domain (aa 993-1016/719-741), and a cytoplasmic domain (aa 1017-1048/742-788). This ZooMAb® recombinant monoclonal antibody, generated by our propriety technology, offers significantly enhanced specificity, affinity, reproducibility, and stability over conventional monoclonals.
外形
Purified recombinant rabbit monoclonal antibody IgG, lyophilized in PBS with 5% Trehalose, normal appearance a coarse or translucent resin. Contains no biocide or preservatives, such as azide, or any animal by-products. Larger pack sizes provided as multiples of 25 μL.
重悬
0.3 mg/mL after reconstitution at 25μL per vial. Please refer to guidance on suggested starting dilutions and/or titers per application and sample type.
储存及稳定性
Recommended storage of lyophilized product at 2-8°C; Before reconstitution, micro-centrifuge vials briefly to spin down material to bottom of the vial; Reconstitute each vial by adding 25 μL of filtered lab grade water or PBS; Reconstituted antibodies can be stored at 2-8°C, or -20°C for long term storage. Avoid repeated freeze-thaws.
法律信息
ZooMAb is a registered trademark of Merck KGaA, Darmstadt, Germany
免责声明
Unless otherwise stated in our catalog or other company documentation accompanying the product(s), our products are intended for research use only and are not to be used for any other purpose, which includes but is not limited to, unauthorized commercial uses, in vitro diagnostic uses, ex vivo or in vivo therapeutic uses or any type of consumption or application to humans or animals.
产品性质
| 生物来源 | rabbit |
| 重组 | expressed in HEK 293 cells |
| 偶联物 | unconjugated |
| 抗体形式 | purified antibody |
| antibody product type | primary antibodies |
| 克隆 | recombinant monoclonal |
| 产品线 | ZooMAb® learn more |
| 形式 | lyophilized |
| 分子量 | 116.04 kDa 87.06 kDa |
| species reactivity | human |
| 包装 | pkg of 25 μL |
| 环保替代产品特性 | Waste Prevention Designing Safer Chemicals Design for Energy Efficiency Learn more about the Principles of Green Chemistry. |
| 增强验证 | recombinant expression Learn more about Antibody Enhanced Validation |
| technique(s) | flow cytometry: suitable immunocytochemistry: suitable immunofluorescence: suitable immunohistochemistry: suitable |
| 同位素/亚型 | IgG |
| 环保替代产品分类 | Aligned |
| 运输 | ambient |
| 储存温度 | 2-8℃ |
安全信息
| 储存分类代码 | 11 - Combustible Solids |
| WGK | WGK 1 |

Sigma-Aldrich
