产品说明
一般描述
ZooMAb antibodies represent an entirely new generation of recombinant monoclonal antibodies.
Each ZooMAb antibody is manufactured using our proprietary recombinant expression system, purified to homogeneity, and precisely dispensed to produce robust and highly reproducible lot-to-lot consistency. Only top-performing clones are released for use by researchers. Each antibody is validated for high specificity and affinity across multiple applications, including its most commonly used application. ZooMAb antibodies are reliably available and ready to ship when you need them.
特异性
Clone 2B10 is a ZooMAb® rabbit recombinant monoclonal antibody that specifically detects Lamin A/C. It targets an epitope within the C-terminal half.
免疫原
His-tagged recombinant fragment corresponding to 183 amino acids from the C-terminal half of human Lamin A/C.
应用
Anti-Lamin A/C, clone 2B10 ZooMAb®, Cat. No. ZRB1054, is a recombinant Rabbit monoclonal antibody that specifically targets Lamin A/C and is tested for use in and Immunocytochemistry, Immunohistochemistry (Paraffin), and Western Blotting.
Quality Control Testing
Evaluated by Western Blotting in A431 cell lysate.
Western Blotting Analysis: A 1:1,000 dilution of this antibody detected Lamin A/C in A431 cell lysate.
Tested Applications
Western Blotting Analysis: A 1:1,000 dilution from a representative lot detected Lamin A/C in MCF-7, NIH3T3, and L6 cell lysates.
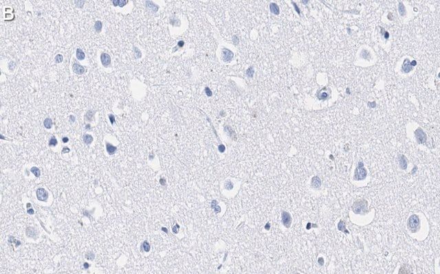
Immunohistochemistry (Paraffin) Analysis: A 1:100 dilution from a representative lot detected Lamin A/C in human cerebral cortex tissue sections.
Immunocytochemistry Analysis: A 1:100 dilution from a representative lot detected Lamin A/C in HeLa, A431, HepG2, and NIH3T3 cells.
Note: Actual optimal working dilutions must be determined by end user as specimens, and experimental conditions may vary with the end user
目标描述
Prelamin-A/C (UniProt: P02545) is encoded by the LMNA (also known as LMN1) gene (Gene ID: 4000) in human. It is cleaved into Lamin-A/C (also known as 70 kDa Lamin, Renal carcinoma antigen NY-REN-32). Lamins are components of the nuclear lamina that provide a framework for the nuclear envelope and may also interact with chromatin. Lamin A and C are present in equal amounts in the lamina of mammals. Plays an important role in nuclear assembly, chromatin organization, nuclear membrane and telomere dynamics. Lamin A is initially synthesized as prelamin A that undergoes several modifications in the carboxyl terminal region that allow incorporation of prelamin A into the nuclear envelope and its subsequent processing into the mature lamin A. Cleavage of 15 residues (aa 647-662) by ZMPSTE24/FACE1 generates the final protein product. Unlike mature lamin A, prelamin A accumulates as discrete and localized foci at the nuclear periphery. Prelamin-A/C can accelerate smooth muscle cell senescence. It can act to disrupt mitosis and induce DNA damage in vascular smooth muscle cells (VSMCs), leading to mitotic failure, genomic instability, and premature senescence. Mutations in LMNA gene are known to cause Emery-Dreifuss muscular dystrophy that is characterized by weakness and atrophy of muscle without involvement of the nervous system. Some mutations have also been linked to familial type of lipodystrophy characterized by the loss of subcutaneous adipose tissue in the lower parts of the body. This ZooMAb® recombinant monoclonal antibody, generated by our propriety technology, offers significantly enhanced specificity, affinity, reproducibility, and stability over conventional monoclonals. (Ref.: Casasola, A., et al. (2016). Nucleus 7(1); 84-102).
外形
Purified recombinant mouse monoclonal antibody IgG, lyophilized in PBS, 5% Trehalose, normal appearance a coarse or translucent resin. Contains no biocide or preservatives, such as azide, or any animal by-products. Larger pack sizes provided as multiples of 25 μL.
重悬
30 μg/mL after reconstitution at 25 μL per vial. Please refer to guidance on suggested starting dilutions and/or titers per application and sample type.
储存及稳定性
Recommend storage of lyophilized product at 2-8℃; Before reconstitution, micro-centrifuge vials briefly to spin down material to bottom of the vial; Reconstitute each vial by adding 25 μL of filtered lab grade water or PBS; Reconstituted antibodies can be stored at 2-8℃, or -20℃ for long term storage. Avoid repeated freeze-thaws.
法律信息
ZooMAb is a registered trademark of Merck KGaA, Darmstadt, Germany
免责声明
Unless otherwise stated in our catalog or other company documentation accompanying the product(s), our products are intended for research use only and are not to be used for any other purpose, which includes but is not limited to, unauthorized commercial uses, in vitro diagnostic uses, ex vivo or in vivo therapeutic uses or any type of consumption or application to humans or animals.
产品性质
| 生物来源 | rabbit |
| 质量水平 | 200 |
| 重组 | expressed in HEK 293 cells |
| 偶联物 | unconjugated |
| 抗体形式 | purified antibody |
| antibody product type | primary antibodies |
| 克隆 | 2B10, monoclonal recombinant monoclonal |
| 产品线 | ZooMAb® learn more |
| 形式 | lyophilized |
| 分子量 | calculated mol wt ~ 74.14 and 65.13 kDa observed mol wt ~75 and 65 kDa |
| species reactivity | human, mouse, rat |
| 包装 | antibody small pack of 25 μL |
| 增强验证 | recombinant expression Learn more about Antibody Enhanced Validation |
| technique(s) | immunocytochemistry: suitable immunohistochemistry (formalin-fixed, paraffin-embedded sections): suitable western blot: suitable |
| 同位素/亚型 | IgG |
| 运输 | ambient |
| 储存温度 | 2-8℃ |
安全信息
| 储存分类代码 | 11 - Combustible Solids |
| WGK | WGK 1 |
| 闪点(F) | Not applicable |
| 闪点(C) | Not applicable |

Sigma-Aldrich
