产品说明
一般描述
Cadherin-17 is a liver-intestine cadherin protein encoded by the CDH17 gene in humans and belongs to unique member of cadherin superfamily. CDH17 is a non-classical cadherin having seven cadherin domains and a transmembrane domain but lacking the conserved cytoplasmic domain of classical cadherins. Cadherins are cellular adhesion molecules that are crucial for intracellular adhesion. These are considered as potential tumor suppressor genes and any alterations in them may lead to invasion and metastasis of tumor cells. The gene CDH17 is mapped to human chromosome 8q22.1 and contains 18 exons.
免疫原
Cadherin-17 Precursor recombinant protein epitope signature tag (PrEST)
应用
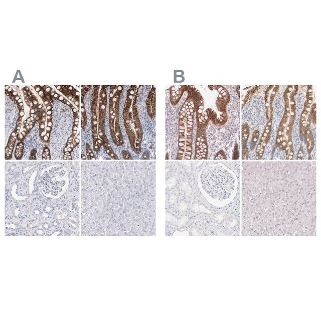
Anti-CDH17 antibody produced in rabbit has been used in immunohistochemistry.
All Prestige Antibodies®Powered by Atlas Antibodies is developed and validated by the Human Protein Atlas (HPA) project (www.proteinatlas.org). Each antibody is tested by immunohistochemistry against hundreds of normal and disease tissues. These images can be viewed on the Human Protein Atlas (HPA) site by clicking on the Image Gallery link. To view these protocols and other useful information about Prestige Antibodies and the HPA, visit sigma.com/prestige.
生化/生理作用
The protein encoded by the gene CDH17 (Cadherin-17), also referred to as LI-cadherin, functions in cell adhesion without being dependent on cytoplasmic components, such as catenins or the actin cytoskeleton. Lower expression of this protein due to single nucleotide polymorphisms has been associated with tumor progression and lymph node metastasis of human colorectal carcinoma. It is found to regulate the signaling function of α2β1 integrin in cell adhesion and proliferation in liver metastatic cancer cells.
特点和优势
Prestige Antibodies® are highly characterized and extensively validated antibodies with the added benefit of all available characterization data for each target being accessible via the Human Protein Atlas portal linked just below the product name at the top of this page. The uniqueness and low cross-reactivity of the Prestige Antibodies® to other proteins are due to a thorough selection of antigen regions, affinity purification, and stringent selection. Prestige antigen controls are available for every corresponding Prestige Antibody and can be found in the linkage section.
Every Prestige Antibody is tested in the following ways:
联系
Corresponding Antigen APREST76191.
外形
Solution in phosphate-buffered saline, pH 7.2, containing 40% glycerol and 0.02% sodium azide
法律信息
Prestige Antibodies is a registered trademark of sigma-aldrich Co. LLC
免责声明
Unless otherwise stated in our catalog or other company documentation accompanying the product(s), our products are intended for research use only and are not to be used for any other purpose, which includes but is not limited to, unauthorized commercial uses, in vitro diagnostic uses, ex vivo or in vivo therapeutic uses or any type of consumption or application to humans or animals.
基本信息
| 人类蛋白质图谱编号 | HPA023616 Human Protein Atlas characterization data |
产品性质
| 生物来源 | rabbit |
| 质量水平 | 100 |
| 偶联物 | unconjugated |
| 抗体形式 | affinity isolated antibody |
| antibody product type | primary antibodies |
| 克隆 | polyclonal |
| 产品线 | Prestige Antibodies® Powered by Atlas Antibodies |
| 形式 | buffered aqueous glycerol solution |
| species reactivity | human |
| 包装 | antibody small pack of 25 μL |
| 增强验证 | independent orthogonal RNAseq recombinant expression Learn more about Antibody Enhanced Validation |
| technique(s) | immunoblotting: 0.04-0.4 μg/mL immunohistochemistry: 1:1000-1:2500 |
| 免疫原序列 | HPIKITQVRWNDPGAQYSLVDKEKLPRFPFSIDQEGDIYVTQPLDREEKDAYVFYAVAKDEYGKPLSYPLEIHVKVK |
| UniProt登记号 | Q12864 |
| 运输 | wet ice |
| 储存温度 | −20℃ |
| Gene Information | human ... CDH17(1015) |
安全信息
| 储存分类代码 | 10 - Combustible liquids |
| WGK | WGK 1 |
| 闪点(F) | Not applicable |
| 闪点(C) | Not applicable |

Sigma-Aldrich
