产品说明
一般描述
SI (Sucrase-isomaltase, a-glucosidase) is a small intestinal molecule of the glycoside hydrolase 31 family (GH31) consisting of duplicated catalytic domains, N- and C-terminal and a narrow hydrophobic +1 subsite for substrate specificity. The two domains are connected through the small intestinal brush-border membrane via an O-glycosylated stalk stemming from the N-terminal domain.
免疫原
Sucrase-isomaltase, intestinal recombinant protein epitope signature tag (PrEST)
应用
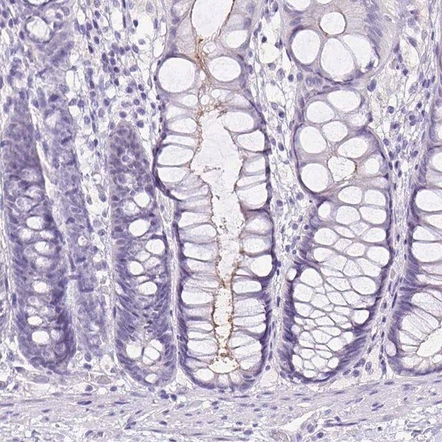
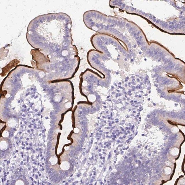
Anti-SI antibody produced in rabbit, a Prestige Antibody, is developed and validated by the Human Protein Atlas (HPA) project (www.proteinatlas.org). Each antibody is tested by immunohistochemistry against hundreds of normal and disease tissues. These images can be viewed on the Human Protein Atlas (HPA) site by clicking on the Image Gallery link. The antibodies are also tested using immunofluorescence and western blotting. To view these protocols and other useful information about Prestige Antibodies and the HPA, visit sigma.com/prestige.
生化/生理作用
SI (Sucrase-isomaltase, α-glucosidase) is mainly involved in the breakdown of dietary starches and sugars into glucose. In carbohydrate digestion, it essentially hydrolyzes the mixture of linear α-1,4- and branched α-1,6-oligosaccharide substrates. HNF (hepatocyte nuclear factor )-1α and HNF-1β suppresses the SI gene expression as well as its activity. Mutations in the SI gene cause SI congenital sucrase-isomaltase deficiency.
特点和优势
Prestige Antibodies® are highly characterized and extensively validated antibodies with the added benefit of all available characterization data for each target being accessible via the Human Protein Atlas portal linked just below the product name at the top of this page. The uniqueness and low cross-reactivity of the Prestige Antibodies® to other proteins are due to a thorough selection of antigen regions, affinity purification, and stringent selection. Prestige antigen controls are available for every corresponding Prestige Antibody and can be found in the linkage section.
Every Prestige Antibody is tested in the following ways:
联系
Corresponding Antigen APREST71691.
外形
Solution in phosphate-buffered saline, pH 7.2, containing 40% glycerol and 0.02% sodium azide
法律信息
Prestige Antibodies is a registered trademark of sigma-aldrich Co. LLC
免责声明
Unless otherwise stated in our catalog or other company documentation accompanying the product(s), our products are intended for research use only and are not to be used for any other purpose, which includes but is not limited to, unauthorized commercial uses, in vitro diagnostic uses, ex vivo or in vivo therapeutic uses or any type of consumption or application to humans or animals.
基本信息
| 人类蛋白质图谱编号 | HPA011897 Human Protein Atlas characterization data |
产品性质
| 生物来源 | rabbit |
| 质量水平 | 100 |
| 偶联物 | unconjugated |
| 抗体形式 | affinity isolated antibody |
| antibody product type | primary antibodies |
| 克隆 | polyclonal |
| 产品线 | Prestige Antibodies® Powered by Atlas Antibodies |
| 形式 | buffered aqueous glycerol solution |
| species reactivity | human |
| 包装 | antibody small pack of 25 μL |
| 增强验证 | orthogonal RNAseq Learn more about Antibody Enhanced Validation |
| technique(s) | immunohistochemistry: 1:200-1:500 western blot: 0.04-0.4 μg/mL |
| 免疫原序列 | PAVDEISDSTSTPATTRVTTNPSDSGKCPNVLNDPVNVRINCIPEQFPTEGICAQRGCCWRPWNDSLIPWCFFVDNHGYNVQDMTTTSIGVEAKLNRIPSPTLFGNDINSVLFTTQNQTPNRFRFKITDPNNRRYEVPHQYV |
| UniProt登记号 | P14410 |
| 运输 | wet ice |
| 储存温度 | −20℃ |
| Gene Information | human ... SI(6476) |
安全信息
| 储存分类代码 | 10 - Combustible liquids |
| WGK | WGK 1 |
| 闪点(F) | Not applicable |
| 闪点(C) | Not applicable |
| 个人防护装备 | Eyeshields, Gloves, multi-purpose combination respirator cartridge (US) |

Sigma-Aldrich
