产品说明
一般描述
Four and a half LIM domains protein 1 (FHL1) is also called Skeletal muscle LIM-protein 1 (SLIM-1). FHL1 has 3 isoforms; Isoform 1 is highly expressed in skeletal muscle; Isoform 2 is expressed in brain and skeletal muscle; and Isoform 3 is expressed in testis, heart and skeletal muscle. FHL1 is possibly involved in muscle development or hypertrophy and associated with X-linked dominant scapuloperoneal myopathy (SPM), X-linked myopathy with postural muscle atrophy (XMPMA), X-linked severe early-onset reducing body myopathy (RBM) and X-linked childhood-onset reducing body myopathy (CO-RBM).
免疫原
Linear peptide corresponding to amino acid sequence CRDPLQGKKYVQKDGRH of human Fhl1.
应用
Research Sub Category
Apoptosis - Additional
Detect Four & a half LIM domains protein 1 using this rabbit polyclonal antibody, Anti-Fhl1 Antibody validated for use in western blotting, ICC & IHC.
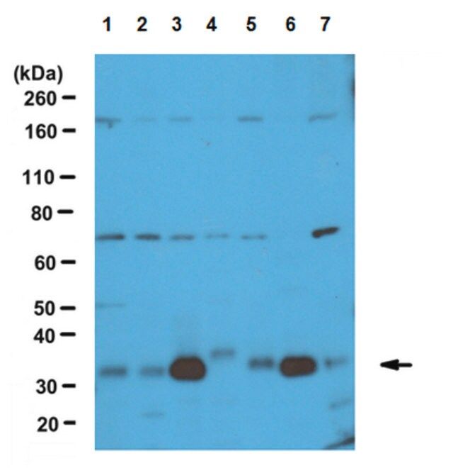
Western Blotting Analysis: A 1:1,000 dilution from a representative lot detected Fhl1 in a panel of select tissue lysates.
Western Blotting Analysis: A 1:1,000 dilution from a representative lot detected Fhl1 in an additional panel of select tissue lysates.
Western Blotting Analysis: A representative lot from an independent laboratory detected Fhl1 in nonanchored and anchored CasKO and Cx43KO cell lysates. A representative lot from the same independent laboratory detected Fhl1 in non-SRC transformed Cx43KO cell lysate and not in SRC transformed Cx43KO cell lysate (Shen, Y., et al. (2006). Cancer Res. 66(3):1543-1552.).
Western Blotting Analysis: A representative lot from an independent laboratory detected Fhl1 in non-SRC transformed Cx43KO cell lysate and not in SRC transformed Cx43KO cell lysate (Li, X., et al. (2008). Cancer Sci. 99(7):1326-1333.).
Immunohistochemistry Analysis: A representative lot from an independent laboratory detected Fhl1 in normal brain, kidney, liver, lung, prostate, and skin tissues and demonstrated a loss of signal in breast carcinoma, renal carcinoma, hepatocarcinoma, pulmonary carcinoma, prostatic carcinoma, and melanoma tissues (Shen, Y., et al. (2006). Cancer Res. 66(3):1543-1552.).
Immunohistochemistry Analysis: A representative lot from an independent laboratory detected Fhl1 in normal epithelium of breast, kidney, and prostate tissues, and demonstrated a loss of signal in mammary duct carcinoma, renal cell carcinoma, and prostate adenocarcinoma tissues (Li, X., et al. (2008). Cancer Sci. 99(7):1326-1333.).
Immunocytochemistry Analysis: A representative lot from an independent laboratory detected Fhl1 in non SRC transformed Cx43KO and CasKO cells and demonstrated a loss of signal in SRC transformed Cx43KO and CasKO cells (Shen, Y., et al. (2006). Cancer Res. 66(3):1543-1552.).
Research Category
Apoptosis & Cancer
质量
Evaluated by Western Blotting in human brain tissue lysate.
Western Blotting Analysis: A 1:1,000 dilution of this antibody detected Fhl1 in 10 µg of human brain tissue lysate.
目标描述
~32 kDa observed. The calculated molecular weight of isoform 1 for this protein is 32 kDa; however, a dimer may be observed at ~64 kDa in some cell lysates. Uncharacterized band(s) may be observed in some cell lysates.
联系
Replaces: MABS405
外形
Unpurified
Rabbit polyclonal in buffer containing serum with 0.05% sodium azide.
储存及稳定性
Stable for 1 year at -20°C from date of receipt.
Handling Recommendations: Upon receipt and prior to removing the cap, centrifuge the vial and gently mix the solution. Aliquot into microcentrifuge tubes and store at -20°C. Avoid repeated freeze/thaw cycles, which may damage IgG and affect product performance.
免责声明
Unless otherwise stated in our catalog or other company documentation accompanying the product(s), our products are intended for research use only and are not to be used for any other purpose, which includes but is not limited to, unauthorized commercial uses, in vitro diagnostic uses, ex vivo or in vivo therapeutic uses or any type of consumption or application to humans or animals.
基本信息
| eCl@ss | 32160702 |
| NACRES | NA.41 |
产品性质
| 生物来源 | rabbit |
| 质量水平 | 100 |
| 抗体形式 | serum |
| antibody product type | primary antibodies |
| 克隆 | polyclonal |
| species reactivity | mouse, rat, human |
| technique(s) | immunocytochemistry: suitable immunohistochemistry: suitable western blot: suitable |
| NCBI登记号 | NP_001153171 |
| UniProt登记号 | Q13642 |
| 运输 | wet ice |
安全信息
| 储存分类代码 | 10 - Combustible liquids |
| WGK | WGK 1 |

Sigma-Aldrich
