产品说明
一般描述
基因METTL14(甲基转移酶样14)定位于人染色体4q。它是METTL3的同源物。该蛋白质具有N-末端α-螺旋基序(NHM)、甲基转移酶结构域和C-末端基序。
免疫原
甲基转移酶样14重组蛋白表位信号标签(PrEST)
应用
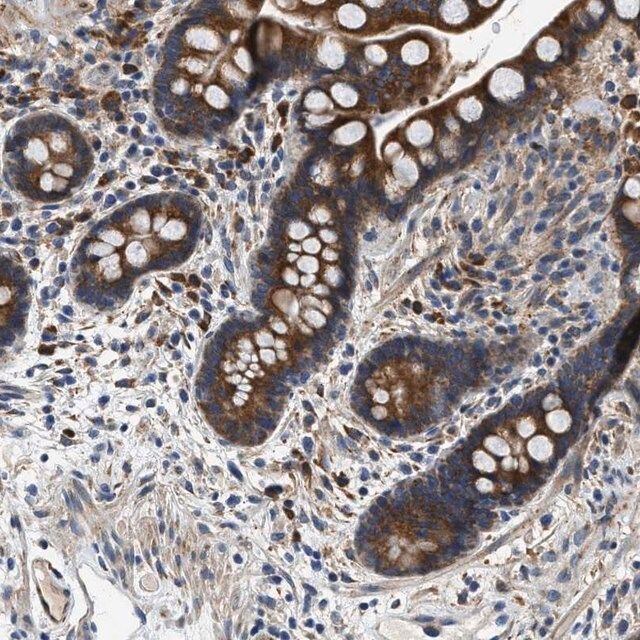
由Atlas Antibodies提供支持的所有Prestige抗体®均由Human Protein Atlas(HPA)项目(www.proteinatlas.org)进行开发和验证。每种抗体都通过针对数百种正常和疾病组织的免疫组织化学进行测试。通过单击图像库链接,可以在人类蛋白质图谱(HPA)站点上查看这些图像。想要查看有关Prestige Antibodies和HPA的 方案 和其他实用信息,请访问 sigma.com/prestige。
兔源抗METTL14抗体已用于免疫印迹和免疫荧光应用。
兔源抗METTL14抗体已用于:
生化/生理作用
METTL14突变可使子宫内膜肿瘤中m6A甲基化减少约70%。
METTL14(甲基转移酶样14)主要负责m6A(N6- 甲基腺苷)RNA甲基化。它可与METTL3形成异二聚体,该复合物可催化m6A RNA甲基化。
特点和优势
Prestige抗体® 是经过高度表征和广泛验证的抗体,同时还有一个优点是其每个靶标的所有可用表征数据都可以通过位于此页面顶部产品名称下方的人类蛋白质图谱门户进行访问。Prestige抗体对其他蛋白质的独特性和低交叉反应性® 是通过严密的抗原区域选择、亲和纯化和严格的选择来实现的。针对每一个Prestige Antibody都存在有对应的Prestige抗原对照,并可在链接区域内找到。
每个Prestige Antibody都是按照以下方法进行测试的:
联系
相应的抗原 APREST79779。
外形
溶于含有40%甘油和0.02%叠氮化钠的的磷酸盐缓冲盐缓冲液(pH7.2)中。
法律信息
Prestige Antibodies is a registered trademark of sigma-aldrich Co. LLC
免责声明
除非我们的产品目录或产品随附的其他公司文档中另有说明,否则我们的产品仅供研究使用,不得用于任何其他目的,包括但不限于未经授权的商业用途、体外诊断用途、离体或体内治疗用途或任何类型的消费或应用于人或动物。
基本信息
| 人类蛋白质图谱编号 | HPA038002 Human Protein Atlas characterization data |
产品性质
| 生物来源 | rabbit |
| 质量水平 | 100 |
| 偶联物 | unconjugated |
| 抗体形式 | affinity isolated antibody |
| antibody product type | primary antibodies |
| 克隆 | polyclonal |
| 产品线 | Prestige Antibodies® Powered by Atlas Antibodies |
| 形式 | buffered aqueous glycerol solution |
| species reactivity | human |
| 包装 | antibody small pack of 25 μL |
| technique(s) | immunofluorescence: 0.25-2 μg/mL immunohistochemistry: 1:1000-1:2500 |
| 免疫原序列 | RSWNMDSRLQEIRERQKLRRQLLAQQLGAESADSIGAVLNSKDEQREIAETRETCRASYDTSAPNAKRKYLDEGETDEDKMEEYKDELEMQQDEE |
| UniProt登记号 | Q9HCE5 |
| 运输 | wet ice |
| 储存温度 | −20℃ |
| Gene Information | human ... METTL14(57721) |
安全信息
| 储存分类代码 | 10 - Combustible liquids |
| WGK | WGK 1 |

Sigma-Aldrich
