产品说明
一般描述
The methylation of arginine is mediated by the Protein Arginine Methyl Transferase (PRMT) family of enzymes. These enzymes transfer the methyl group from S-adenosyl-Lmethionine to the guanidino nitrogen atoms of an arginine residue. Arginine methylation was found to be an important modification in signal transduction, transcription, RNA transport, and splicing. PRMT1, also known as HRMT1L2 and IR1B4, was isolated through its interaction with BTG1 and TIS21, proteins that are important in cell quiescence. PRMT1 is a 361 amino acid protein; its splicing variants differ at the N-terminus, giving rise to three isoforms of 343, 361, and 347 amino acids (variants 1, 2, and 3 respectively). Proteins involved in the metabolism of RNA are substrates for PRMT1, among them Sam68.
特异性
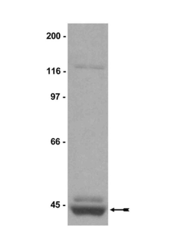
PRMT1 doublet
免疫原
Peptide corresponding to residues 298-318 of human protein arginine methyltransferase 1.
应用
Research Sub Category
Histones
Research Category
Epigenetics & Nuclear Function
Anti-PRMT1 Antibody is a high quality Rabbit Polyclonal Antibody for the detection of PRMT1 & has been validated in WB.
质量
routinely evaluated by immunoblot in lysates from Jurkat and 3T3/A31, NIH 3T3, HeLa, and mouse ES cells
目标描述
42-44 kDa
外形
Format: Purified
Protein A purified
0.1M Tris-glycine, pH 7.4, 0.15M NaCl,0.05% sodium azide before the addition of glycerol to 30%
储存及稳定性
2 years at -20°C
分析说明
Control
Jurkat cell lysate
法律信息
UPSTATE is a registered trademark of Merck KGaA, Darmstadt, Germany
免责声明
Unless otherwise stated in our catalog or other company documentation accompanying the product(s), our products are intended for research use only and are not to be used for any other purpose, which includes but is not limited to, unauthorized commercial uses, in vitro diagnostic uses, ex vivo or in vivo therapeutic uses or any type of consumption or application to humans or animals.
基本信息
| eCl@ss | 32160702 |
| NACRES | NA.41 |
产品性质
| 生物来源 | rabbit |
| 质量水平 | 100 |
| 抗体形式 | purified immunoglobulin |
| antibody product type | primary antibodies |
| 克隆 | polyclonal |
| species reactivity | human, mouse |
| manufacturer/tradename | Upstate® |
| technique(s) | western blot: suitable |
| 同位素/亚型 | IgG |
| NCBI登记号 | NM_001536 (and others) |
| UniProt登记号 | Q99873 |
| 运输 | wet ice |
| Gene Information | human ... PRMT1(3276) |
安全信息
| 储存分类代码 | 10 - Combustible liquids |
| WGK | WGK 1 |

Sigma-Aldrich
