产品说明
一般描述
Radiation-inducible immediate-early gene IEX-1, also known as Differentiation-dependent gene 2 protein (DIF-2) or PACAP-responsive gene 1 protein (Protein PRG1), and encoded by the gene name IER3 or DIF2 or IEX1 or PRG1, is a stress inducible gene that is induced by ionizing radiation, ultraviolet radiation, and a variety of growth factors, i.e., FAS and TNF-α. IEX1 is widely expressed in epithelial and endocrine tissues, as well as in vascular endothelium. IEX1 plays an important role in the regulation of cellular growth, cell death and oncogenesis and is precisely regulated by multiple transcription factors such as p53, NF-κB/rel, Sp1 and c-Myc, to ensure rapid and transient expression of IEX1 in cells under a variety of stress conditions. IEX1 is expressed as both a longer form (IEX1L) and a splice variant, designated IEX1S. It is localized to the nucleus and perinuclear region. Overexpression of IEX1 facilitates apoptosis and cell cycle progression, whereas disruption of IEX1 expression is associated with decreases in both apoptosis and cell cycle progression.
免疫原
Epitope: Center region
KLH-conjugated synthetic peptide corresponding to the center region of human IEX1.
应用
Research Sub Category
Apoptosis - Additional
Anti-IEX1 Antibody is an antibody against IEX1 for use in western blotting, IHC & immunofluorescence.
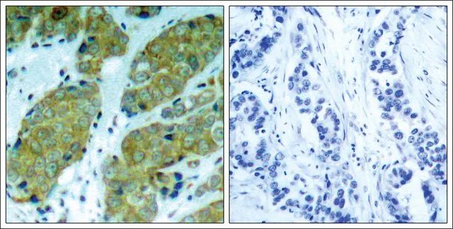
Immunohistochemistry Analysis: 2.5 μg/mL from a representative lot detected IEX1 in human liver tissue.
Immunofluorescence Analysis: 20 μg/mL from a representative lot detected IEX1 in human brain cells.
Research Category
Apoptosis & Cancer
质量
Evaluated by Western Blotting in human brain tissue lysate.
Western Blotting Analysis: 4 μg/mL of this antibody detected IEX1 in human brain tissue lysate.
目标描述
~16 kDa observed. Uncharacterized bands may be observed in some lysate(s).
外形
Affinity
Purified rabbit polyclonal in buffer containing PBS with up to 0.1% sodium azide.
储存及稳定性
Stable for 1 year at 2-8°C from date of receipt.
其他说明
Concentration: Please refer to the Certificate of Analysis for the lot-specific concentration.
免责声明
Unless otherwise stated in our catalog or other company documentation accompanying the product(s), our products are intended for research use only and are not to be used for any other purpose, which includes but is not limited to, unauthorized commercial uses, in vitro diagnostic uses, ex vivo or in vivo therapeutic uses or any type of consumption or application to humans or animals.
基本信息
| eCl@ss | 32160702 |
| NACRES | NA.41 |
产品性质
| 生物来源 | rabbit |
| 质量水平 | 100 |
| 抗体形式 | affinity isolated antibody |
| antibody product type | primary antibodies |
| 克隆 | polyclonal |
| 纯化方式 | affinity chromatography |
| species reactivity | human |
| technique(s) | immunofluorescence: suitable immunohistochemistry: suitable western blot: suitable |
| UniProt登记号 | P46695 |
| 运输 | wet ice |
| Gene Information | human ... IER3(8870) |
安全信息
| 储存分类代码 | 12 - Non Combustible Liquids |
| WGK | WGK 2 |
| 闪点(F) | Not applicable |
| 闪点(C) | Not applicable |

Sigma-Aldrich
