产品说明
一般描述
The cellular production of highly reactive nitrogen species derived from nitric oxide, such as peroxynitrite, nitrogen dioxide and nitryl chloride, leads to the nitration of tyrosine resides in tissue proteins. The extent of protein nitrotyrosine formation provides an index of the production of reactive nitrogen species and potential cell damage over a period of time. Nitrotyrosine can be measured by amino-acid analysis of protein hydrolysates and detected, estimated semi-quantitatively and located in cells and tissues by immunocytochemical techniques using antibodies directed against the nitrotyrosine hapten.
特异性
Reactivity with other species has not been determined.
Recognizes nitrated tyrosine residues.
免疫原
Nitrated KLH.
应用
Research Sub Category
Oxidative Stress
Western Blot:
1:100-1:1,000 dilution of a previous lot was used sucessfully in western blot when tested against nitrated BSA and nitrated ovalbumin.
Immunohistochemistry:
1:50-1:100 on paraffin embedded, 10% neutral buffer formalin fixed mouse liver (animal treated with Zymosan) and normal human cerebellum tissues. The tissues must be pretreated with heat induced epitope retrieval (HIER). Incubation with the AB5411 was for 10 minutes and the reaction was developed with the Chemicon IHCSelect, HRP-DAB kit (Catalog number DAB150).
Optimal working dilutions must be determined by end user.
Research Category
Neuroscience
Detect Nitrotyrosine using this Anti-Nitrotyrosine Antibody validated for use in IH(P) & WB.
质量
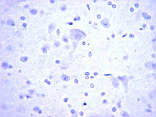
Immunohistochemistry(paraffin) Analysis:
Nitrotyrosine (AB5411) staining of Mouse Brain (Zymosan), tissue pretreated with citrate buffer, pH 6.0. Polyclonal antibody was diluted to 1:500, using IHC-Select
Optimal Staining of Nitrotyrosine Monoclonal: Mouse Brain Treated With Zymosan.
联系
Replaces: AB5386
外形
Purified rabbit polyclonal in buffer containing 0.1% sodium azide.
Format: Purified
Protein A purified
储存及稳定性
Stable for 1 year at 2-8ºC from date of receipt.
分析说明
Control
POSITIVE CONTROL: Tyrosine residues can be nitrated directly in situ on tissue sections using peroxynitrite (catalog # 20-107) to create a positive control. After the tissue section is deparaffinized, the slide is covered with a drop of PBS, pH 7.4 into which 10 microliters of peroxynitrite solution are mixed. Care should be taken that the solution maintains a pH of 7.4.
其他说明
Concentration: Please refer to the Certificate of Analysis for the lot-specific concentration.
法律信息
CHEMICON is a registered trademark of Merck KGaA, Darmstadt, Germany
免责声明
Unless otherwise stated in our catalog or other company documentation accompanying the product(s), our products are intended for research use only and are not to be used for any other purpose, which includes but is not limited to, unauthorized commercial uses, in vitro diagnostic uses, ex vivo or in vivo therapeutic uses or any type of consumption or application to humans or animals.
基本信息
| eCl@ss | 32160702 |
| NACRES | NA.41 |
产品性质
| 生物来源 | rabbit |
| 质量水平 | 100 |
| 抗体形式 | purified immunoglobulin |
| antibody product type | primary antibodies |
| 克隆 | polyclonal |
| species reactivity | human, mouse |
| species reactivity (predicted by homology) | all |
| manufacturer/tradename | Chemicon® |
| technique(s) | immunohistochemistry: suitable (paraffin) western blot: suitable |
| 运输 | wet ice |
安全信息
| 储存分类代码 | 12 - Non Combustible Liquids |
| WGK | WGK 2 |
| 闪点(F) | Not applicable |
| 闪点(C) | Not applicable |

Sigma-Aldrich
