产品说明
一般描述
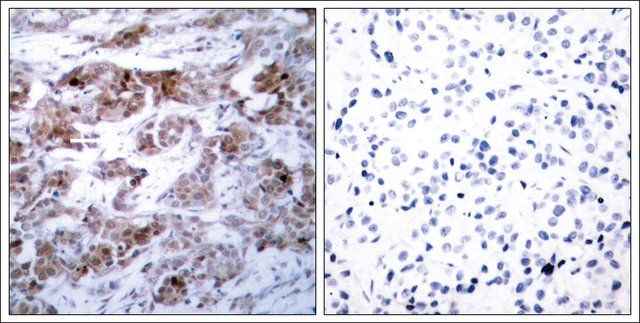
Anti-BAD Antibody detects endogenous levels of total BAD protein.
免疫原
The antiserum was produced against synthesized peptide derived from human BAD.
Immunogen Range: 61-110
特点和优势
Evaluate our antibodies with complete peace of mind. If the antibody does not perform in your application, we will issue a full credit or replacement antibody. Learn more.
外形
Rabbit IgG in phosphate buffered saline (without Mg2+ and Ca2+), pH 7.4, 150mM NaCl, 0.02% sodium azide and 50% glycerol.
免责声明
Unless otherwise stated in our catalog or other company documentation accompanying the product(s), our products are intended for research use only and are not to be used for any other purpose, which includes but is not limited to, unauthorized commercial uses, in vitro diagnostic uses, ex vivo or in vivo therapeutic uses or any type of consumption or application to humans or animals.
基本信息
| MDL编号 | MFCD01633042 |
| NACRES | NA.41 |
产品性质
| 生物来源 | rabbit |
| 偶联物 | unconjugated |
| 抗体形式 | affinity isolated antibody |
| antibody product type | primary antibodies |
| 克隆 | polyclonal |
| 形式 | buffered aqueous solution |
| 分子量 | antigen 22 kDa |
| species reactivity | human, rat, mouse |
| 浓度 | ~1 mg/mL |
| technique(s) | ELISA: 1:10000 immunohistochemistry: 1:50-1:100 |
| NCBI登记号 | Q92934 |
| UniProt登记号 | Q92934 |
| 运输 | wet ice |
| 储存温度 | −20℃ |
| Gene Information | human ... BAD(572) |
安全信息
| 储存分类代码 | 12 - Non Combustible Liquids |
| WGK | nwg |
| 闪点(F) | Not applicable |
| 闪点(C) | Not applicable |

Sigma-Aldrich
