产品说明
一般描述
The protein encoded by this gene belongs to the highly conserved cyclin family, whose members are characterized by a dramatic periodicity in protein abundance through the cell cycle. Cyclins function as regulators of CDK kinases. Different cyclins exhibit distinct expression and degradation patterns which contribute to the temporal coordination of each mitotic event. This cyclin forms a complex with and functions as a regulatory subunit of CDK4 or CDK6, whose activtiy is required for cell cycle G1/S transition. This protein has been shown to interact with and be involved in the phosphorylation of tumor suppressor protein Rb. The CDK4 activity associated with this cyclin was reported to be necessary for cell cycle progression through G2 phase into mitosis after UV radiation. Several transcript variants encoding different isoforms have been found for this gene. (provided by RefSeq)
免疫原
CCND3 (NP_001751.1, 1 a.a. ~ 292 a.a) full-length human protein.
Sequence
MELLCCEGTRHAPRAGPDPRLLGDQRVLQSLLRLEERYVPRASYFQCVQREIKPHMRKMLAYWMLEVCEEQRCEEEVFPLAMNYLDRYLSCVPTRKAQLQLLGAVCMLLASKLRETTPLTIEKLCIYTDHAVSPRQLRDWEVLVLGKLKWDLAAVIAHDFLAFILHRLSLPRDRQALVKKHAQTFLALCATDYTFAMYPPSMIATGSIGAAVQGLGACSMSGDELTELLAGITGTEVDCLRACQEQIEAALRESLREASQTSSSPAPKAPRGSSSQGPSQTSTPTDVTAIHL
外形
Solution in phosphate buffered saline, pH 7.4
基本信息
| NACRES | NA.41 |
产品性质
| 生物来源 | rabbit |
| 偶联物 | unconjugated |
| 抗体形式 | purified immunoglobulin |
| antibody product type | primary antibodies |
| 克隆 | polyclonal |
| 形式 | buffered aqueous solution |
| 分子量 | antigen 32.5 kDa |
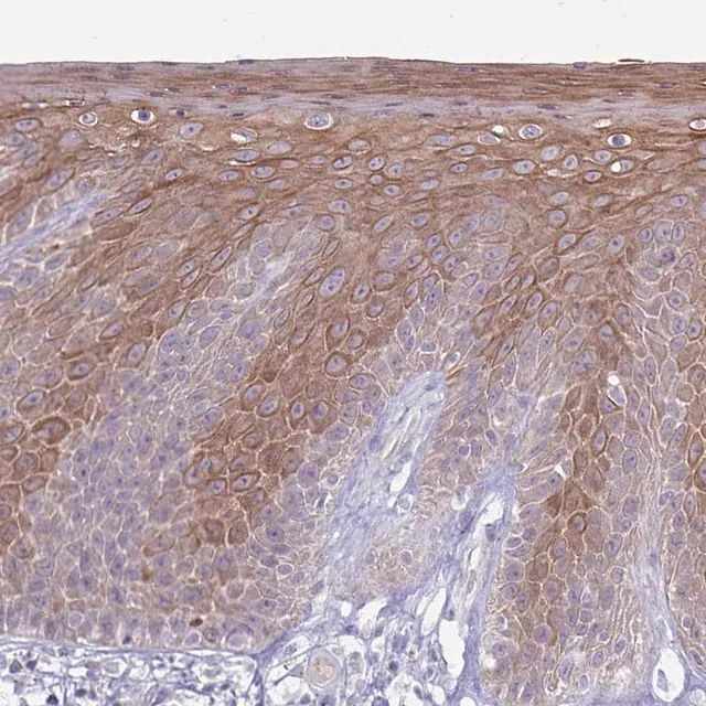
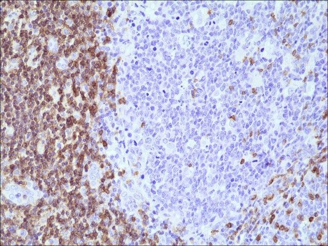
| species reactivity | human |
| technique(s) | proximity ligation assay: suitable western blot: 1 μg/mL |
| NCBI登记号 | NM_001760 |
| UniProt登记号 | P30281 |
| 运输 | dry ice |
| 储存温度 | −20℃ |
| Gene Information | human ... CCND3(896) |
安全信息
| 储存分类代码 | 12 - Non Combustible Liquids |
| WGK | WGK 3 |
| 闪点(F) | Not applicable |
| 闪点(C) | Not applicable |

Sigma-Aldrich
