产品说明
免疫原
Synthetic 20 amino acid peptide from internal region of human FLT3 / CD135. Percent identity with other species by BLAST analysis: Human, Gorilla, Gibbon, Monkey (100%); Marmoset, Rabbit (95%); Hamster (85%); Bovine, Dog, Panda, Horse (80%).
特点和优势
Evaluate our antibodies with complete peace of mind. If the antibody does not perform in your application, we will issue a full credit or replacement antibody. Learn more.
外形
Solution in phosphate-buffered saline containing less than 0.1% sodium azide.
基本信息
| NACRES | NA.41 |
产品性质
| 生物来源 | rabbit |
| 偶联物 | unconjugated |
| 抗体形式 | affinity isolated antibody |
| antibody product type | primary antibodies |
| 克隆 | polyclonal |
| 形式 | buffered aqueous solution |
| species reactivity | human |
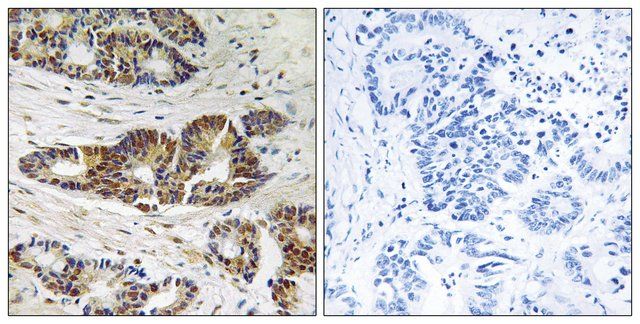
| technique(s) | immunohistochemistry (formalin-fixed, paraffin-embedded sections): suitable indirect ELISA: suitable |
| UniProt登记号 | P36888 |
| 运输 | dry ice |
| 储存温度 | −20℃ |
| Gene Information | human ... FLT3(2322) |
安全信息
| 储存分类代码 | 12 - Non Combustible Liquids |
| 闪点(F) | Not applicable |
| 闪点(C) | Not applicable |

Sigma-Aldrich
