产品说明
一般描述
Breast cancer antiestrogen resistance 1 (BCAR1), also known as p130 Cas, is encoded by the gene mapped to human chromosome 16q23. BCAR1 belongs to Cas (Crk-associated substrate) protein family. The protein is characterized with an amino-terminal Src homology 3 (SH3) domain, a Src-binding domain, a large substrate domain, and a helix-loop-helix domain.
免疫原
The antiserum was produced against synthesized peptide derived from human p130 Cas around the phosphorylation site of Tyr410.
Immunogen Range: 376-425
生化/生理作用
Breast cancer antiestrogen resistance 1 (BCAR1), also known as p130 Cas, plays a vital role in various cellular processes such as migration, adhesion, cytoskeleton reorganization host-pathogen interaction, survival, proliferation, transformation, and possibly metastasis. It is associated with the growth factor receptor EGFR and the metastasis suppressor KAI1, in vitro. Overexpression of BCAR1 in localized prostate cancers (LPC) suggests that this protein has potential as a marker for both prognosis and treatment. It is also considered to be a potential marker for breast cancer. Neural precursor cell expressed developmentally down-regulated protein 9 (NEDD-9) and BCAR1, via SRC, promote removal of E-Cadherin from cell membrane, and trigger E-cadherin degradation.
特点和优势
Evaluate our antibodies with complete peace of mind. If the antibody does not perform in your application, we will issue a full credit or replacement antibody. Learn more.
外形
Rabbit IgG in phosphate buffered saline (without Mg2+ and Ca2+), pH 7.4, 150mM NaCl, 0.02% sodium azide and 50% glycerol.
免责声明
Unless otherwise stated in our catalog or other company documentation accompanying the product(s), our products are intended for research use only and are not to be used for any other purpose, which includes but is not limited to, unauthorized commercial uses, in vitro diagnostic uses, ex vivo or in vivo therapeutic uses or any type of consumption or application to humans or animals.
基本信息
| NACRES | NA.41 |
产品性质
| 生物来源 | rabbit |
| 偶联物 | unconjugated |
| 抗体形式 | affinity isolated antibody |
| antibody product type | primary antibodies |
| 克隆 | polyclonal |
| 形式 | buffered aqueous solution |
| 分子量 | antigen 93 kDa |
| species reactivity | rat, mouse, human |
| 浓度 | ~1 mg/mL |
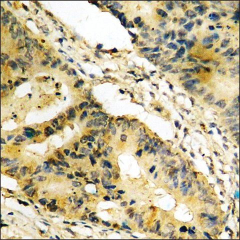
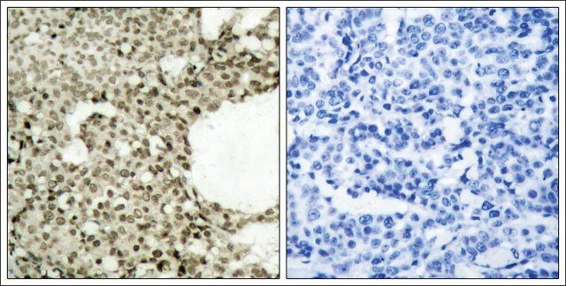
| technique(s) | ELISA: 1:5000 immunohistochemistry: 1:50-1:100 western blot: 1:500-1:1000 |
| NCBI登记号 | P56945 |
| UniProt登记号 | P56945 |
| 运输 | wet ice |
| 储存温度 | −20℃ |
| Gene Information | human ... BCAR1(9564) |
安全信息
| 储存分类代码 | 10 - Combustible liquids |
| WGK | WGK 1 |
| 闪点(F) | Not applicable |
| 闪点(C) | Not applicable |

Sigma-Aldrich
