产品说明
免疫原
The antiserum was produced against synthesized peptide derived from human Shc around the phosphorylation site of Tyr349.
Immunogen Range: 315-364
特点和优势
Evaluate our antibodies with complete peace of mind. If the antibody does not perform in your application, we will issue a full credit or replacement antibody. Learn more.
外形
Rabbit IgG in phosphate buffered saline (without Mg2+ and Ca2+), pH 7.4, 150mM NaCl, 0.02% sodium azide and 50% glycerol.
基本信息
| NACRES | NA.41 |
产品性质
| 生物来源 | rabbit |
| 偶联物 | unconjugated |
| 抗体形式 | affinity isolated antibody |
| antibody product type | primary antibodies |
| 克隆 | polyclonal |
| 形式 | buffered aqueous solution |
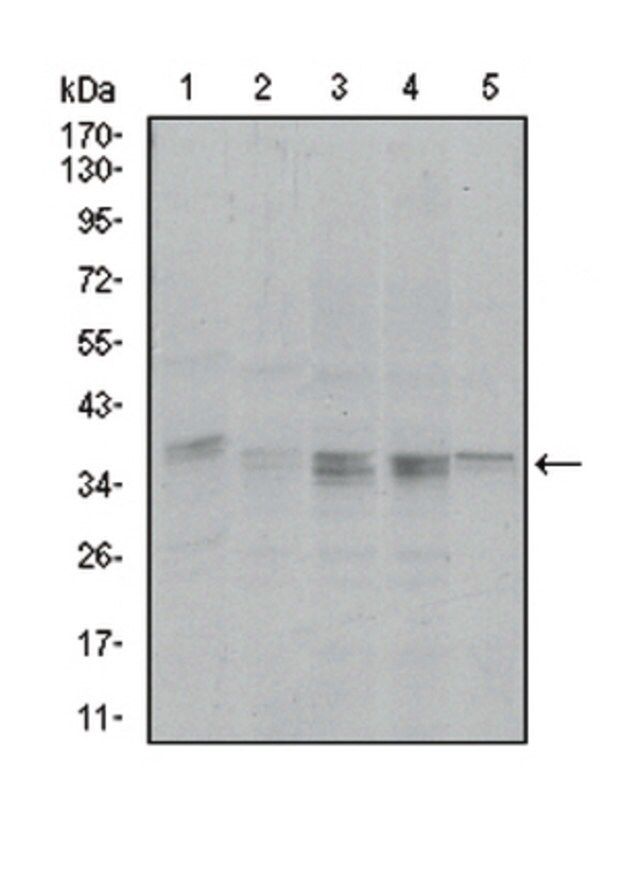
| 分子量 | antigen 62 kDa |
| species reactivity | rat, human, mouse |
| 浓度 | ~1 mg/mL |
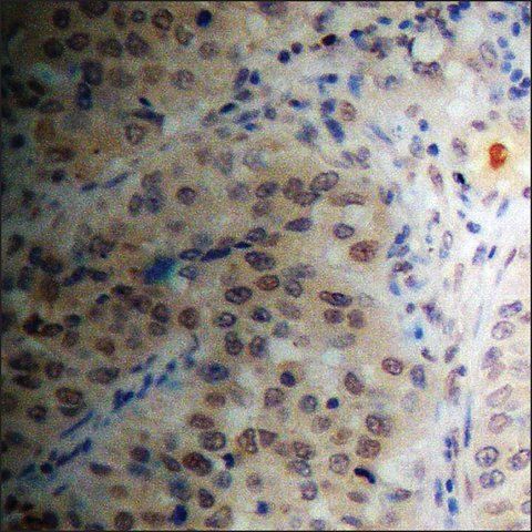
| technique(s) | ELISA: 1:10000 immunohistochemistry: 1:50-1:100 western blot: 1:500-1:1000 |
| NCBI登记号 | P29353 |
| UniProt登记号 | P29353 |
| 运输 | wet ice |
| 储存温度 | −20℃ |
| Gene Information | human ... SHC1(6464) |
安全信息
| 储存分类代码 | 10 - Combustible liquids |
| WGK | WGK 1 |
| 闪点(F) | Not applicable |
| 闪点(C) | Not applicable |

Sigma-Aldrich
