产品说明
一般描述
The protein encoded by this gene is a member of the tripartite motif (TRIM) family. The TRIM motif includes three zinc-binding domains, a RING, a B-box type 1 and a B-box type 2, and a coiled-coil region. This phosphoprotein localizes to nuclear bodies where it functions as a transcription factor and tumor suppressor. Its expression is cell-cycle related and it regulates the p53 response to oncogenic signals. The gene is often involved in the translocation with the retinoic acid receptor alpha gene associated with acute promyelocytic leukemia (APL). Extensive alternative splicing of this gene results in several variations of the protein′s central and C-terminal regions; all variants encode the same N-terminus. Alternatively spliced transcript variants encoding different isoforms have been identified.
免疫原
Recombinant fusion protein containing a sequence corresponding to amino acids 300-600 of human PML (NP_150253.2).
外形
PBS with 0.02% sodium azide,50% glycerol,pH7.3.
储存及稳定性
Store at -20℃. Avoid freeze / thaw cycles.
产品性质
| 生物来源 | rabbit |
| 质量水平 | 100 |
| 抗体形式 | affinity isolated antibody |
| antibody product type | primary antibodies |
| 克隆 | polyclonal |
| 形式 | buffered aqueous solution |
| 分子量 | 47-48 62-97 |
| species reactivity | rat, human, mouse |
| 浓度 | 2.42 mg/ml |
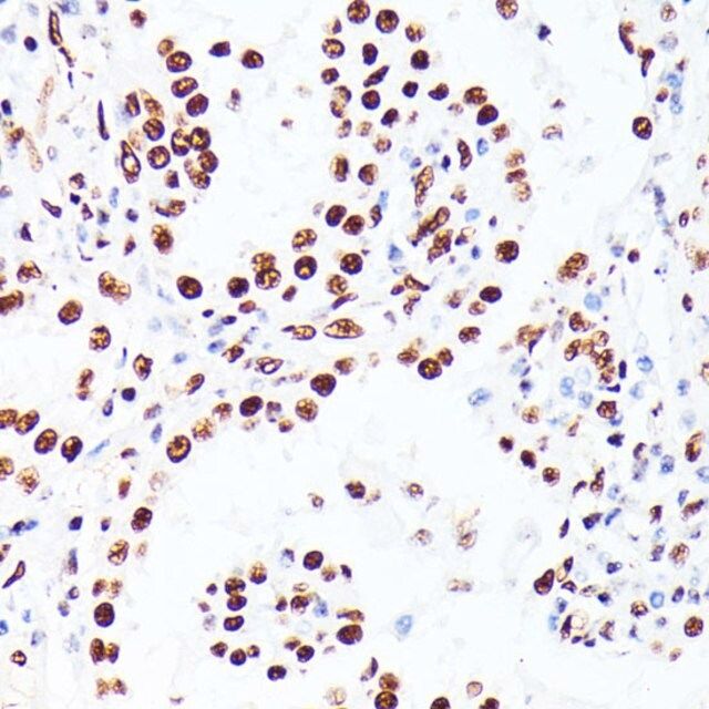
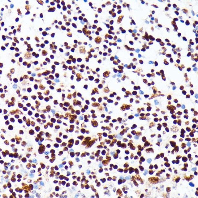
| technique(s) | immunofluorescence: 1:50-1:200 immunohistochemistry: 1:50-1:200 western blot: 1:500-1:2000 |
| UniProt登记号 | P29590 |
| 运输 | wet ice |
| 储存温度 | −20℃ |
| Gene Information | human ... PML(5371) |
安全信息
| 储存分类代码 | 12 - Non Combustible Liquids |
| 闪点(F) | Not applicable |
| 闪点(C) | Not applicable |

Sigma-Aldrich
