产品说明
一般描述
This gene encodes a multifunctional protein that binds ubiquitin and regulates activation of the nuclear factor kappa-B (NF-kB) signaling pathway. The protein functions as a scaffolding/adaptor protein in concert with TNF receptor-associated factor 6 to mediate activation of NF-kB in response to upstream signals. Alternatively spliced transcript variants encoding either the same or different isoforms have been identified for this gene. Mutations in this gene result in sporadic and familial Paget disease of bone.
免疫原
A synthesized peptide derived from human SQSTM1/p62.
外形
Buffer: PBS with 0.02% sodium azide,0.05% BSA,50% glycerol,pH7.3.
产品性质
| 生物来源 | rabbit |
| 质量水平 | 100 |
| antibody product type | primary antibodies |
| 克隆 | monoclonal |
| 形式 | liquid |
| species reactivity | mouse, human, rat |
| 浓度 | 0.5 mg/mL |
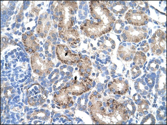
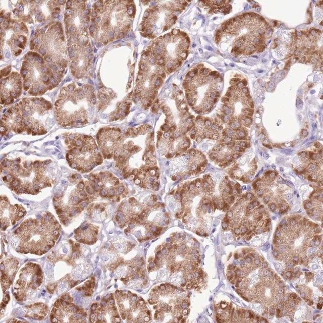
| technique(s) | immunohistochemistry: 1:50-1:200 western blot: 1:500-1:2000 |
| UniProt登记号 | Q13501 |
| 运输 | wet ice |
| 储存温度 | −20℃ |
| Gene Information | human ... SQSTM1(8878) |
安全信息
| 闪点(F) | Not applicable |
| 闪点(C) | Not applicable |

Sigma-Aldrich
