产品说明
一般描述
Annexin A1 (ANXA1) is a calcium and phospholipid binding protein almost entirely restricted to microglia in the CNS. During the peripheral inflammatory response, Annexin A1 is instrumental in the phagocytosis of apoptotic leukocytes. Annexin A1 restores the ability of microglia to differentiate between apoptotic and non-apoptotic cells during inflammatory activation. Current research is geared towards using Annexin A1 as a therapeutic target in neuroinflammation. Annexin A1 has also been shown to be influential in cancer development and proliferation.
特异性
This antibody recognizes the C-terminus of Annexin A1
免疫原
KLH-conjugated linear peptide corresponding to the C-terminus of human Annexin A1.
Epitope: C-terminus
应用
Anti-Annexin A1 is an antibody targeting the Annexin A1 protein, validated for use in WB & IHC.
Research Sub Category
Apoptosis - Additional
Research Category
Apoptosis & Cancer
Western Blot Analysis: 2.0 µg/mL from a representative lot detected Annexin A1 in 10 µg of C2C12, HUVEC, and NIH/3T3 cell lysate.
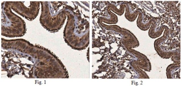
Immunohistochemistry Analysis: 1:500 dilution from a representative lot detected Annexin A1 in human lung tissue.
质量
Evaluated by Western Blot in L6 cell lysate.
Western Blot Analysis: 2.0 µg/mL of this antibody detected Annexin A1 in 10 µg of L6 cell lysate.
目标描述
~38 kDa observed
外形
Purified rabbit polyclonal in buffer containing 0.1 M Tris-Glycine (pH 7.4), 150 mM NaCl with 0.05% sodium azide.
Format: Purified
Protein A purified
储存及稳定性
Stable for 1 year at 2-8°C from date of receipt.
分析说明
Control
L6 cell lysate
其他说明
Concentration: Please refer to the Certificate of Analysis for the lot-specific concentration.
免责声明
Unless otherwise stated in our catalog or other company documentation accompanying the product(s), our products are intended for research use only and are not to be used for any other purpose, which includes but is not limited to, unauthorized commercial uses, in vitro diagnostic uses, ex vivo or in vivo therapeutic uses or any type of consumption or application to humans or animals.
基本信息
| eCl@ss | 32160702 |
| NACRES | NA.41 |
产品性质
| 生物来源 | rabbit |
| 质量水平 | 100 |
| 抗体形式 | purified antibody |
| antibody product type | primary antibodies |
| 克隆 | polyclonal |
| species reactivity | human, rat, mouse |
| species reactivity (predicted by homology) | porcine (based on 100% sequence homology), chimpanzee (based on 100% sequence homology), bovine (based on 100% sequence homology) |
| technique(s) | immunohistochemistry: suitable western blot: suitable |
| NCBI登记号 | NP_000691 |
| UniProt登记号 | P04083 |
| 运输 | wet ice |
安全信息
| 储存分类代码 | 12 - Non Combustible Liquids |
| WGK | WGK 1 |
| 闪点(F) | Not applicable |
| 闪点(C) | Not applicable |

Sigma-Aldrich
