产品说明
一般描述
This gene was first characterized as part of a cluster of genes located within the human major histocompatibility complex class III region. This gene encodes a nuclear protein that is cleaved by caspase 3 and is implicated in the control of apoptosis. In addition, the protein forms a complex with E1A binding protein p300 and is required for the acetylation of p53 in response to DNA damage.
序列
Synthetic peptide located within the following region: VGDPPQPLPEEPMEVQGAERASPEPQRENASPAPGTTAEEAMSRGPPPAP
外形
Supplied at 0.5 mg/ml in phosphate-buffered saline, 0.09% sodium azide
免责声明
Unless otherwise stated in our catalog or other company documentation accompanying the product(s), our products are intended for research use only and are not to be used for any other purpose, which includes but is not limited to, unauthorized commercial uses, in vitro diagnostic uses, ex vivo or in vivo therapeutic uses or any type of consumption or application to humans or animals.
产品性质
| 生物来源 | rabbit |
| 偶联物 | unconjugated |
| 抗体形式 | affinity isolated antibody |
| antibody product type | primary antibodies |
| 克隆 | polyclonal |
| 形式 | buffered aqueous solution |
| 分子量 | 125 kDa |
| species reactivity (predicted by homology) | pig, mouse, bovine, canine, rabbit, human, guinea pig, horse |
| 浓度 | 0.5 mg/mL |
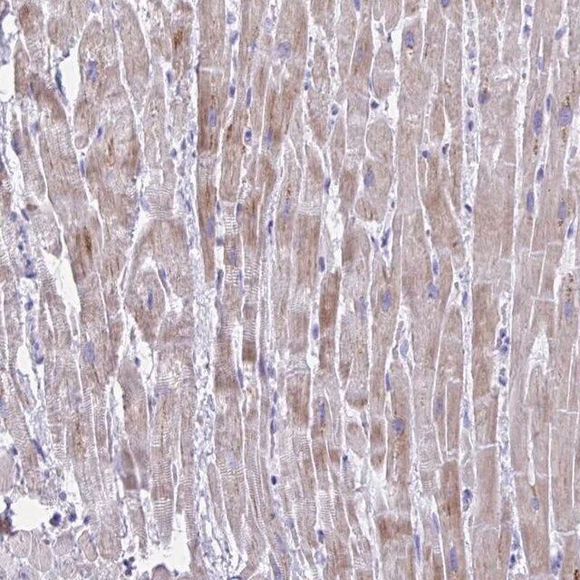
| technique(s) | immunohistochemistry (formalin-fixed, paraffin-embedded sections): 4-8 μg/mL western blot: 1 μg/mL |
| NCBI登记号 | NM_004639 |
| 运输 | wet ice |
| 储存温度 | −20℃ |
| Gene Information | human ... BAG6(7917) |
安全信息
| 储存分类代码 | 10 - Combustible liquids |
| WGK | nwg |
| 闪点(F) | Not applicable |
| 闪点(C) | Not applicable |

Sigma-Aldrich
