产品说明
一般描述
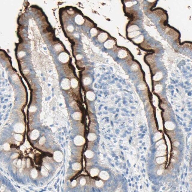
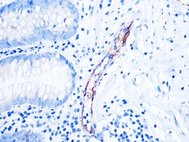
CDHR5 (cadherin related family member 5) is a protocadherin (PCDH) family member, and is also known as PCDH24. It might be a constituent of enterocyte microvillus. It is a poorly characterized protein. It is a type I transmembrane protein, which contains the characteristic domains of the cadherin protein family- extracellular EC repeats. This gene localizes to human chromosome 11p15.5.
免疫原
Mucin and cadherin-like protein precursor recombinant protein epitope signature tag (PrEST)
应用
Anti-CDHR5 antibody produced in rabbit, a Prestige Antibody, is developed and validated by the Human Protein Atlas (HPA) project (www.proteinatlas.org). Each antibody is tested by immunohistochemistry against hundreds of normal and disease tissues. These images can be viewed on the Human Protein Atlas (HPA) site by clicking on the Image Gallery link. The antibodies are also tested using immunofluorescence and western blotting. To view these protocols and other useful information about Prestige Antibodies and the HPA, visit sigma.com/prestige.
生化/生理作用
CDHR5 (cadherin related family member 5) is localized to the brush border, and might be involved in the adhesion of microvilli, eventually resulting in the tight packing of fully differentiated enterocytes. It interacts in a trans-fashion with MLPCDH (mucin-like protocadherin) to form Ca2+-dependent adhesion complexes.
特点和优势
Prestige Antibodies® are highly characterized and extensively validated antibodies with the added benefit of all available characterization data for each target being accessible via the Human Protein Atlas portal linked just below the product name at the top of this page. The uniqueness and low cross-reactivity of the Prestige Antibodies® to other proteins are due to a thorough selection of antigen regions, affinity purification, and stringent selection. Prestige antigen controls are available for every corresponding Prestige Antibody and can be found in the linkage section.
Every Prestige Antibody is tested in the following ways:
联系
Corresponding Antigen APREST71708.
外形
Solution in phosphate-buffered saline, pH 7.2, containing 40% glycerol and 0.02% sodium azide
法律信息
Prestige Antibodies is a registered trademark of sigma-aldrich Co. LLC
免责声明
Unless otherwise stated in our catalog or other company documentation accompanying the product(s), our products are intended for research use only and are not to be used for any other purpose, which includes but is not limited to, unauthorized commercial uses, in vitro diagnostic uses, ex vivo or in vivo therapeutic uses or any type of consumption or application to humans or animals.
基本信息
| 人类蛋白质图谱编号 | HPA009081 Human Protein Atlas characterization data |
产品性质
| 生物来源 | rabbit |
| 偶联物 | unconjugated |
| 抗体形式 | affinity isolated antibody |
| antibody product type | primary antibodies |
| 克隆 | polyclonal |
| 产品线 | Prestige Antibodies® Powered by Atlas Antibodies |
| 形式 | buffered aqueous glycerol solution |
| species reactivity | human |
| 包装 | antibody small pack of 25 μL |
| 增强验证 | orthogonal RNAseq Learn more about Antibody Enhanced Validation |
| technique(s) | immunohistochemistry: 1:200- 1:500 |
| 免疫原序列 | CIQAQYHGAVPTGHILPSPLVLRPGPIYAEDGDRGINQPIIYSIFRGNVNGTFIIHPDSGNLTVARSVPSPMTFLLLVKGQQADLARYSVTQVTVEAVAAAGSPPRFPQSLYRGTVARGAGAGVVVKDA |
| 运输 | wet ice |
| 储存温度 | −20℃ |
| Gene Information | human ... MUPCDH(53841) |
安全信息
| 储存分类代码 | 10 - Combustible liquids |
| WGK | WGK 1 |
| 闪点(F) | Not applicable |
| 闪点(C) | Not applicable |
| 个人防护装备 | Eyeshields, Gloves, multi-purpose combination respirator cartridge (US) |

Sigma-Aldrich
