产品说明
一般描述
Desmin (UniProt: P17661) is encoded by the DES gene (Gene ID: 1674) in human. Desmin is a major class III intermediate filament protein essential for the structural integrity and function of muscle.
In adult striated muscle desmin forms a fibrous network connecting myofibrils to each other and to the plasma membrane from the periphery of the Z-line structures. It may also act as a sarcomeric microtubule-anchoring protein and specifically associate with detyrosinated tubulin-alpha chains, leading to buckled microtubules and mechanical resistance to contraction. Desmin is particularly abundant at the myotendinous junctions and at the neuromuscular junctions of skeletal muscle. Mammalian cardiac muscle cells contain higher amounts of desmin (up to 2% of total protein) compared to skeletal muscle cells (0.35% of total protein). Mutations in DES gene have been linked to familial cardiac and skeletal myopathy characterized by skeletal muscle weakness associated with cardiac conduction blocks, arrhythmias, and restrictive heart failure. It can also lead to myofibrillar destruction with intracytoplasmic accumulation of desmin-reactive deposits in cardiac and skeletal muscle cells. (rEF.: Denise Paulin, D., and Li, Z (2004). Experimental Cell Research 301(1); 1 -7).
特异性
Clone 4C12.1 specifically detects Desmin in human, mouse, and rat muscles. It targets an epitope within 64 amino acids from the C-terminal end.
免疫原
GST/His-taged recombinant fragment corresponding to 64 amino acids from the C-terminal region of human Desmin.
应用
Anti-Desmin Antibody, clone 4C12.1, Cat. No. MABT535, is a mouse monoclonal antibody that targets Desmin in Human, Mouse, and Rat and it is tested for use in Immunohistochemistry (Paraffin) and Western Blotting.
Research Category
Cell Structure
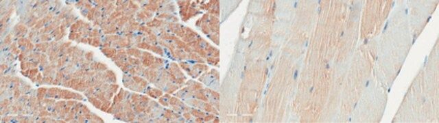
Immunohistochemistry Analysis: A 1:50 dilution from a representative lot detected Desmin in mouse heart, mouse skeletal muscle, rat heart, and rat skeletal muscle tissues.
Immunohistochemistry Analysis: A 1:1,000 dilution from a representative lot detected Desmin in human heart and human skeletal muscle tissues.
质量
Evaluated by Western Blotting in human skeletal muscle tissue lysate.
Western Blotting Analysis: 0.5 µg/mL of this antibody detected Desmin in 10 µg of human skeletal muscle tissue lysate.
目标描述
~53 kDa observed; 53.53 kDa calculated. Uncharacterized bands may be observed in some lysate(s).
外形
Protein G purified
Purified mouse monoclonal antibody IgG2b in buffer containing 0.1 M Tris-Glycine (pH 7.4), 150 mM NaCl with 0.05% sodium azide.
Format: Purified
储存及稳定性
Stable for 1 year at 2-8°C from date of receipt.
其他说明
Concentration: Please refer to lot specific datasheet.
免责声明
Unless otherwise stated in our catalog or other company documentation accompanying the product(s), our products are intended for research use only and are not to be used for any other purpose, which includes but is not limited to, unauthorized commercial uses, in vitro diagnostic uses, ex vivo or in vivo therapeutic uses or any type of consumption or application to humans or animals.
基本信息
| eCl@ss | 32160702 |
产品性质
| 质量水平 | 100 |
| 生物来源 | mouse |
| 抗体形式 | purified immunoglobulin |
| antibody product type | primary antibodies |
| 克隆 | 4C12.1, monoclonal |
| species reactivity | rat, human, mouse |
| 包装 | antibody small pack of 25 μg |
| technique(s) | immunohistochemistry: suitable (paraffin) western blot: suitable |
| 同位素/亚型 | IgG2bκ |
| NCBI登记号 | NP_001918 |
| UniProt登记号 | P17661 |
| 运输 | ambient |
| Gene Information | human ... DES(1674) |
安全信息
| 储存分类代码 | 12 - Non Combustible Liquids |
| WGK | WGK 1 |
| 闪点(F) | Not applicable |
| 闪点(C) | Not applicable |

Sigma-Aldrich
