产品说明
一般描述
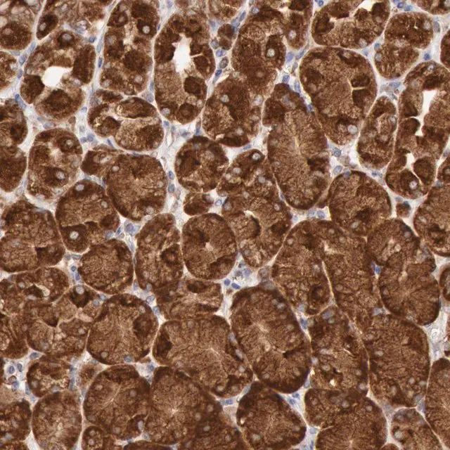
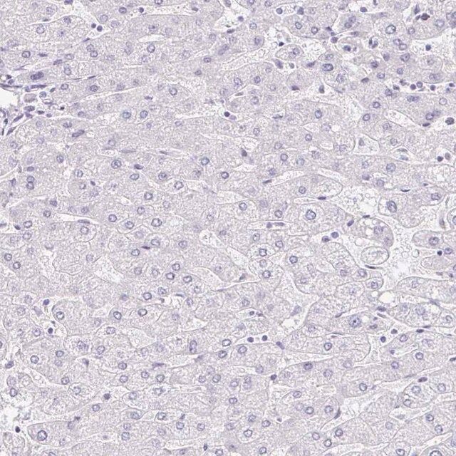
EQTN (equatorin) is localized to human chromosome 9p21, and has no similarity to any known gene or protein. It spans ~13kb, and has eight exons. The encoded protein has 294 amino acids, and has a putative molecular weight of 32.8kb. Its C-terminal contains a putative leucine zipper, and it is predominantly expressed in the testis. It is also called Afaf (acrosome formation associated factor).
免疫原
Acrosome formation-associated factor Precursor recombinant protein epitope signature tag (PrEST)
应用
All Prestige Antibodies Powered by Atlas Antibodies are developed and validated by the Human Protein Atlas (HPA) project (www.proteinatlas.org)and as a result, are supported by the most extensive characterization in the industry.
The Human Protein Atlas project can be subdivided into three efforts: Human Tissue Atlas, Cancer Atlas, and Human Cell Atlas. The antibodies that have been generated in support of the Tissue and Cancer Atlas projects have been tested by immunohistochemistry against hundreds of normal and disease tissues and through the recent efforts of the Human Cell Atlas project, many have been characterized by immunofluorescence to map the human proteome not only at the tissue level but now at the subcellular level. These images and the collection of this vast data set can be viewed on the Human Protein Atlas (HPA) site by clicking on the Image Gallery link. To view these protocols and other useful information about Prestige Antibodies and the HPA, visit sigma.com/prestige.
生化/生理作用
EQTN (equatorin) is thought have a role in the formation of acrosome in mice testis.
特点和优势
Prestige Antibodies® are highly characterized and extensively validated antibodies with the added benefit of all available characterization data for each target being accessible via the Human Protein Atlas portal linked just below the product name at the top of this page. The uniqueness and low cross-reactivity of the Prestige Antibodies® to other proteins are due to a thorough selection of antigen regions, affinity purification, and stringent selection. Prestige antigen controls are available for every corresponding Prestige Antibody and can be found in the linkage section.
Every Prestige Antibody is tested in the following ways:
联系
Corresponding Antigen APREST71854.
外形
Solution in phosphate-buffered saline, pH 7.2, containing 40% glycerol and 0.02% sodium azide
法律信息
Prestige Antibodies is a registered trademark of sigma-aldrich Co. LLC
基本信息
| 人类蛋白质图谱编号 | HPA015504 Human Protein Atlas characterization data |
产品性质
| 生物来源 | rabbit |
| 质量水平 | 100 |
| 偶联物 | unconjugated |
| 抗体形式 | affinity isolated antibody |
| antibody product type | primary antibodies |
| 克隆 | polyclonal |
| 产品线 | Prestige Antibodies® Powered by Atlas Antibodies |
| 形式 | buffered aqueous glycerol solution |
| species reactivity | human |
| 增强验证 | independent recombinant expression orthogonal RNAseq Learn more about Antibody Enhanced Validation |
| technique(s) | immunoblotting: 0.04-0.4 μg/mL immunohistochemistry: 1:200-1:500 |
| 免疫原序列 | EDVNKQEEKNEDHTPNYAPANEKNGNYYKDIKQYVFTTQNPNGTESEISVRATTDLNFALKNGSTPNVPAFWTMLAKAINGTAVVMDDKDQLFHPIPESDVNATQGENQPDLEDLKIK |
| 运输 | wet ice |
| 储存温度 | −20℃ |
| Gene Information | human ... C9orf11(54586) |
安全信息
| 储存分类代码 | 12 - Non Combustible Liquids |
| WGK | WGK 1 |
| 闪点(F) | Not applicable |
| 闪点(C) | Not applicable |

Sigma-Aldrich
