产品说明
一般描述
The gene electron transfer flavoprotein subunit α (ETFA) is mapped to human chromosome 15q23. The protein localizes in the mitochondria.
免疫原
Electron transfer flavoprotein subunit alpha, mitochondrial precursor recombinant protein epitope signature tag (PrEST)
应用
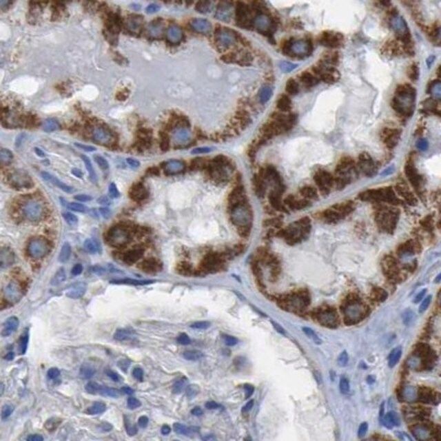
Anti-ETFA antibody produced in rabbit, a Prestige Antibody, is developed and validated by the Human Protein Atlas (HPA) project (www.proteinatlas.org). Each antibody is tested by immunohistochemistry against hundreds of normal and disease tissues. These images can be viewed on the Human Protein Atlas (HPA) site by clicking on the Image Gallery link. The antibodies are also tested using immunofluorescence and western blotting. To view these protocols and other useful information about Prestige Antibodies and the HPA, visit sigma.com/prestige.
生化/生理作用
ETFA (electron transfer flavoprotein subunit α) is a subunit of electron transfer flavoprotein (ETF). ETF is responsible for transfer of electrons from primary flavoprotein dehydrogenases participating in mitochondrial fatty acid and amino acid catabolism to the membrane-associated electron transfer flavoprotein ubiquinone oxidoreductase. Mutations in ETFA results in blockage of the electron transfer from acyl-CoA dehydrogenases. This results in accumulation of various acyl-esters in blood and urine, causing multiple acyl-CoA dehydrogenation deficiency (MADD).
特点和优势
Prestige Antibodies® are highly characterized and extensively validated antibodies with the added benefit of all available characterization data for each target being accessible via the Human Protein Atlas portal linked just below the product name at the top of this page. The uniqueness and low cross-reactivity of the Prestige Antibodies® to other proteins are due to a thorough selection of antigen regions, affinity purification, and stringent selection. Prestige antigen controls are available for every corresponding Prestige Antibody and can be found in the linkage section.
Every Prestige Antibody is tested in the following ways:
联系
Corresponding Antigen APREST74743.
外形
Solution in phosphate-buffered saline, pH 7.2, containing 40% glycerol and 0.02% sodium azide
法律信息
Prestige Antibodies is a registered trademark of sigma-aldrich Co. LLC
基本信息
| 人类蛋白质图谱编号 | HPA018993 Human Protein Atlas characterization data |
产品性质
| 生物来源 | rabbit |
| 质量水平 | 100 |
| 偶联物 | unconjugated |
| 抗体形式 | affinity isolated antibody |
| antibody product type | primary antibodies |
| 克隆 | polyclonal |
| 产品线 | Prestige Antibodies® Powered by Atlas Antibodies |
| 形式 | buffered aqueous glycerol solution |
| species reactivity | human |
| 包装 | antibody small pack of 25 μL |
| 增强验证 | orthogonal RNAseq independent Learn more about Antibody Enhanced Validation |
| technique(s) | immunoblotting: 0.04-0.4 μg/mL immunofluorescence: 0.25-2 μg/mL immunohistochemistry: 1:50-1:200 |
| 免疫原序列 | MFRAAAPGQLRRAASLLRFQSTLVIAEHANDSLAPITLNTITAATRLGGEVSCLVAGTKCDKVAQDLCKVAGIAKVLVAQHDVYKGL |
| UniProt登记号 | P13804 |
| 运输 | wet ice |
| 储存温度 | −20℃ |
| Gene Information | human ... ETFA(2108) |
安全信息
| 储存分类代码 | 12 - Non Combustible Liquids |
| WGK | WGK 1 |
| 闪点(F) | Not applicable |
| 闪点(C) | Not applicable |
| 个人防护装备 | Eyeshields, Gloves, multi-purpose combination respirator cartridge (US) |

Sigma-Aldrich
