产品说明
一般描述
This gene encodes a member of the galectin family of carbohydrate binding proteins. Members of this protein family have an affinity for beta-galactosides. The encoded protein is characterized by an N-terminal proline-rich tandem repeat domain and a single C-terminal carbohydrate recognition domain. This protein can self-associate through the N-terminal domain allowing it to bind to multivalent saccharide ligands. This protein localizes to the extracellular matrix, the cytoplasm and the nucleus. This protein plays a role in numerous cellular functions including apoptosis, innate immunity, cell adhesion and T-cell regulation. The protein exhibits antimicrobial activity against bacteria and fungi. Alternate splicing results in multiple transcript variants.[provided by RefSeq, Oct 2014]
免疫原
A synthesized peptide derived from human Galectin 3/LGALS3
外形
Buffer: PBS with 0.02% sodium azide,0.05% BSA,50% glycerol,pH7.3.
产品性质
| 生物来源 | rabbit |
| 质量水平 | 100 |
| antibody product type | primary antibodies |
| 克隆 | monoclonal |
| 形式 | liquid |
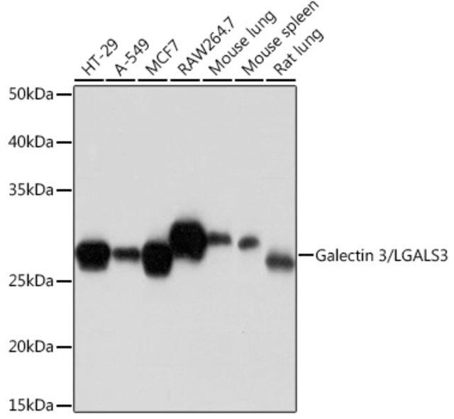
| species reactivity | human, rat, mouse |
| 浓度 | 0.33 mg/mL |
| technique(s) | immunohistochemistry: 1:50-1:200 western blot: 1:500-1:2000 |
| UniProt登记号 | P17931 |
| 运输 | wet ice |
| 储存温度 | −20℃ |
| Gene Information | human ... LGALS3(3958) |
安全信息
| 闪点(F) | Not applicable |
| 闪点(C) | Not applicable |

Sigma-Aldrich
