产品说明
一般描述
Glucose-dependent insulinotropic polypeptide (GIP) or gastric inhibitory polypeptide is a 42-amino acid gastrointestinal regulatory peptide, expressed in K cells of the small intestine and in cells of the submandibular salivary gland. The gene encoding GIP is localized on human chromosome 17.
特异性
The antibody detects endogenous levels of total GIP protein.
免疫原
Fusion protein corresponding to a region derived from internal residues of human gastric inhibitory polypeptide
生化/生理作用
In the presence of glucose, glucose-dependent insulinotropic polypeptide (GIP) induces insulin secretion. It acts as an antagonist of the human GIP receptor. Aberrations in GIP are associated with visceral fat accumulation. The protein has been studied to have a protective function in obesity and atherosclerosis.
特点和优势
Evaluate our antibodies with complete peace of mind. If the antibody does not perform in your application, we will issue a full credit or replacement antibody. Learn more.
外形
Rabbit IgG in pH7.3 PBS, 0.05% NaN3, 50% Glycerol.
免责声明
Unless otherwise stated in our catalog or other company documentation accompanying the product(s), our products are intended for research use only and are not to be used for any other purpose, which includes but is not limited to, unauthorized commercial uses, in vitro diagnostic uses, ex vivo or in vivo therapeutic uses or any type of consumption or application to humans or animals.
基本信息
| NACRES | NA.41 |
产品性质
| 生物来源 | rabbit |
| 质量水平 | 100 |
| 抗体形式 | affinity isolated antibody |
| antibody product type | primary antibodies |
| 克隆 | polyclonal |
| 形式 | buffered aqueous solution |
| 分子量 | 17 kDa |
| species reactivity | human |
| 浓度 | 0.5 mg/mL |
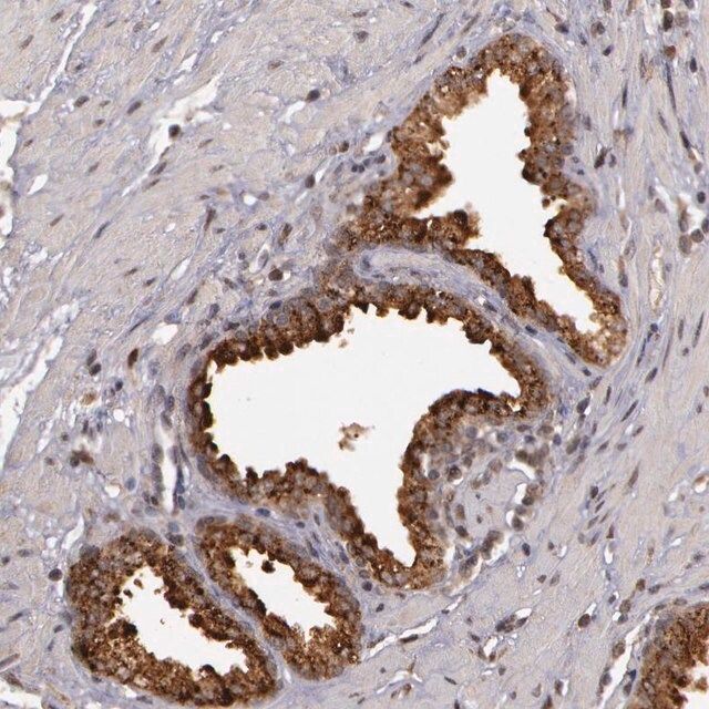
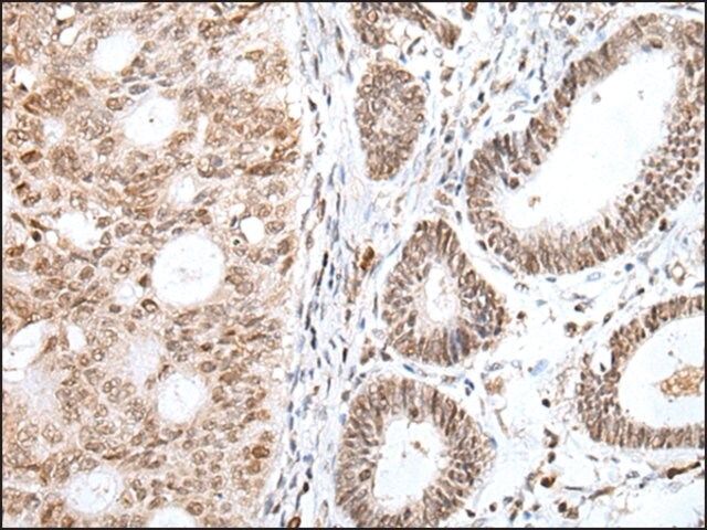
| technique(s) | immunohistochemistry: 1:10- 1:50 western blot: 1:200-1:1000 (Cell Lysate) |
| 同位素/亚型 | IgG |
| 登记号 | NP_004114.1 |
| UniProt登记号 | P09681 |
| 运输 | wet ice |
| 储存温度 | −20℃ |
| Gene Information | human ... GIP(2695) |
安全信息
| 储存分类代码 | 12 - Non Combustible Liquids |
| WGK | WGK 1 |
| 闪点(F) | Not applicable |
| 闪点(C) | Not applicable |

Sigma-Aldrich
