产品说明
免疫原
IRF2BP1 (NP_056464, 1 a.a. ~ 584 a.a) full-length human protein.
Sequence
MASVQASRRQWCYLCDLPKMPWAMVWDFSEAVCRGCVNFEGADRIELLIDAARQLKRSHVLPEGRSPGPPALKHPATKDLAAAAAQGPQLPPPQAQPQPSGTGGGVSGQDRYDRATSSGRLPLPSPALEYTLGSRLANGLGREEAVAEGARRALLGSMPGLMPPGLLAAAVSGLGSRGLTLAPGLSPARPLFGSDFEKEKQQRNADCLAELNEAMRGRAEEWHGRPKAVREQLLALSACAPFNVRFKKDHGLVGRVFAFDATARPPGYEFELKLFTEYPCGSGNVYAGVLAVARQMFHDALREPGKALASSGFKYLEYERRHGSGEWRQLGELLTDGVRSFREPAPAEALPQQYPEPAPAALCGPPPRAPSRNLAPTPRRRKASPEPEGEAAGKMTTEEQQQRHWVAPGGPYSAETPGVPSPIAALKNVAEALGHSPKDPGGGGGPVRAGGASPAASSTAQPPTQHRLVARNGEAEVSPTAGAEAVSGGGSGTGATPGAPLCCTLCRERLEDTHFVQCPSVPGHKFCFPCSREFIKAQGPAGEVYCPSGDKCPLVGSSVPWAFMQGEIATILAGDIKVKKERDP
外形
Solution in phosphate buffered saline, pH 7.4
基本信息
| NACRES | NA.41 |
产品性质
| 质量水平 | 100 |
| 生物来源 | mouse |
| 偶联物 | unconjugated |
| 抗体形式 | purified immunoglobulin |
| antibody product type | primary antibodies |
| 克隆 | polyclonal |
| 形式 | buffered aqueous solution |
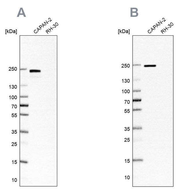
| 分子量 | antigen ~61.7 kDa |
| species reactivity | human |
| technique(s) | western blot: 1 μg/mL |
| NCBI登记号 | NM_015649 |
| UniProt登记号 | Q8IU81 |
| 运输 | dry ice |
| 储存温度 | −20℃ |
| Gene Information | human ... IRF2BP1(26145) |
安全信息
| 储存分类代码 | 13 - Non Combustible Solids |
| WGK | WGK 1 |
| 闪点(F) | Not applicable |
| 闪点(C) | Not applicable |

Sigma-Aldrich
