产品说明
一般描述
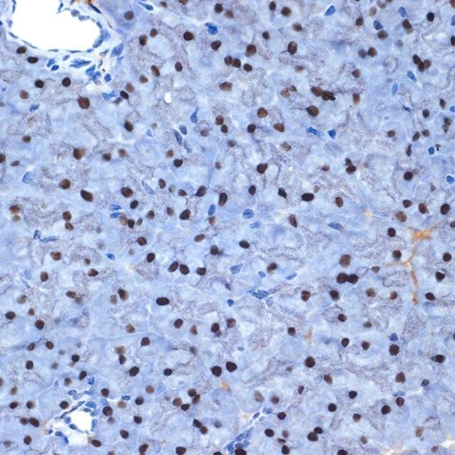
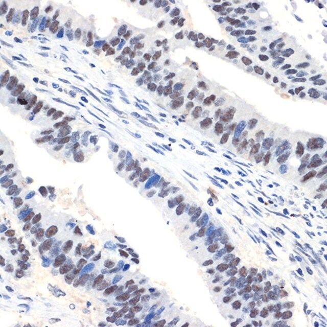
The protein encoded by this gene is an RNA cytidine acetyltransferase involved in histone acetylation, tRNA acetylation, the biosynthesis of 18S rRNA, and the enhancement of nuclear architecture and chromatin organization.
免疫原
Recombinant protein of human NAT10.
外形
Buffer: PBS with 0.02% sodium azide,50% glycerol,pH7.3.
产品性质
| 生物来源 | rabbit |
| 质量水平 | 100 |
| antibody product type | primary antibodies |
| 克隆 | monoclonal |
| 形式 | liquid |
| species reactivity | mouse, human, rat |
| 浓度 | 0.5 mg/mL |
| technique(s) | immunohistochemistry: 1:50-1:200 western blot: 1:500-1:2000 |
| UniProt登记号 | Q9H0A0 |
| 运输 | wet ice |
| 储存温度 | −20℃ |
| Gene Information | human ... NAT10(55226) |
安全信息
| 闪点(F) | Not applicable |
| 闪点(C) | Not applicable |

Sigma-Aldrich
