产品说明
特异性
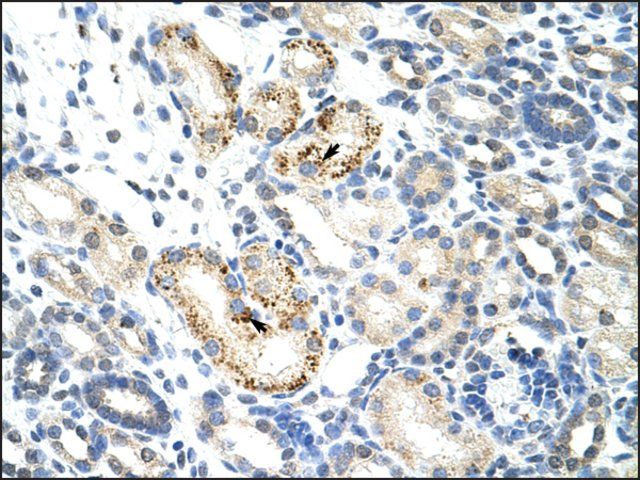
Nkx2.1(甲状腺转录因子-1,TTF-1)。
免疫原
重组大鼠Nkx2.1。
应用
免疫印迹法。该抗体可与Nkx2.1阳性细胞系MLE15、H441-4、H345和大鼠II型红细胞细胞的核提取物或全细胞裂解液的免疫印迹中40 kDa的条带发生反应。
免疫组化。该抗体可用于福尔马林固定石蜡包埋的组织。建议使用热诱导抗原决定簇。
最佳工作稀释度必须由最终用户确定。
该抗Nkx2.1抗体经过验证可用于WB、IH(P)中,以用于检测Nkx2.1。
质量
已经过测试
其他说明
法律信息
CHEMICON is a registered trademark of Merck KGaA, Darmstadt, Germany
免责声明
Unless otherwise stated in our catalog or other company documentation accompanying the product(s), our products are intended for research use only and are not to be used for any other purpose, which includes but is not limited to, unauthorized commercial uses, in vitro diagnostic uses, ex vivo or in vivo therapeutic uses or any type of consumption or application to humans or animals.
基本信息
| eCl@ss | 32160702 |
| NACRES | NA.41 |
产品性质
| 质量水平 | 100 |
| 生物来源 | mouse |
| 抗体形式 | ascites fluid |
| antibody product type | primary antibodies |
| 克隆 | 8G7-G3-1, monoclonal |
| species reactivity | human |
| 包装 | antibody small pack of 25 μL |
| manufacturer/tradename | Chemicon® |
| technique(s) | immunohistochemistry: suitable (paraffin) western blot: suitable |
| 同位素/亚型 | IgG1 |
| NCBI登记号 | NM_001079668.1 NM_003317.3 |
| UniProt登记号 | P43699 |
| 运输 | dry ice |
| 储存温度 | −20℃ |
| Gene Information | human ... NKX2-1(7080) |
安全信息
| 储存分类代码 | 10 - Combustible liquids |
| WGK | WGK 2 |

Sigma-Aldrich
