产品说明
一般描述
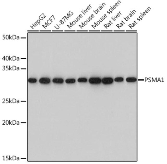
The proteasome is a multicatalytic proteinase complex with a highly ordered ring-shaped 20S core structure. The core structure is composed of 4 rings of 28 non-identical subunits; 2 rings are composed of 7 alpha subunits and 2 rings are composed of 7 beta subunits. Proteasomes are distributed throughout eukaryotic cells at a high concentration and cleave peptides in an ATP/ubiquitin-dependent process in a non-lysosomal pathway. An essential function of a modified proteasome, the immunoproteasome, is the processing of class I MHC peptides. This gene encodes a member of the peptidase T1A family, that is a 20S core alpha subunit. Alternative splicing results in multiple transcript variants encoding distinct isoforms.[provided by RefSeq, Jan 2009]
免疫原
A synthesized peptide derived from human PSMA1
外形
Buffer: PBS with 0.02% sodium azide,0.05% BSA,50% glycerol,pH7.3.
产品性质
| 生物来源 | rabbit |
| 质量水平 | 100 |
| antibody product type | primary antibodies |
| 克隆 | monoclonal |
| 形式 | liquid |
| species reactivity | human, mouse |
| 浓度 | 0.17 mg/mL |
| technique(s) | immunohistochemistry: 1:50-1:200 western blot: 1:500-1:2000 |
| UniProt登记号 | P25786 |
| 运输 | wet ice |
| 储存温度 | −20℃ |
| Gene Information | human ... PSMA1(5682) |
安全信息
| 闪点(F) | Not applicable |
| 闪点(C) | Not applicable |

Sigma-Aldrich
