产品说明
特异性
Specifically recognizes PTEN*, a tumor suppressor protein located on human chromosome 10 (Steck, ′97; Li, ′97; Rhei, ′97) that is often mutated in various types of advanced cancers (Rhei, ′97). The PTEN protein exhibits protein phosphatase activity (Myers, ′97) and can suppress the growth of glioma cells (Furnari, ′97). The antibody recognizes human and mouse PTEN and is specific for the C-terminus. Other species not tested. Reactivity with human fibroblasts, breast epithelial and lung cancer cell lines has been confirmed by western blot, and antibody specificity has been confirmed by peptide blocking studies.
*PTEN is covered under U.S. patents 6,262,242, 6,482,795 and U.S. patent application 10/299,003.
免疫原
Anti-PTEN was generated by immunization with a 10 amino acid peptide corresponding to amino acids 387-400 near the C-terminus of human PTEN.
Epitope: C-terminus
应用
Anti-PTEN Antibody, C-terminus, clone A2b1 is an antibody against PTEN for use in IC, IH, IP & WB.
Research Category
Signaling
Western blot 1:100 (55 kDa)
Immunocytochemistry
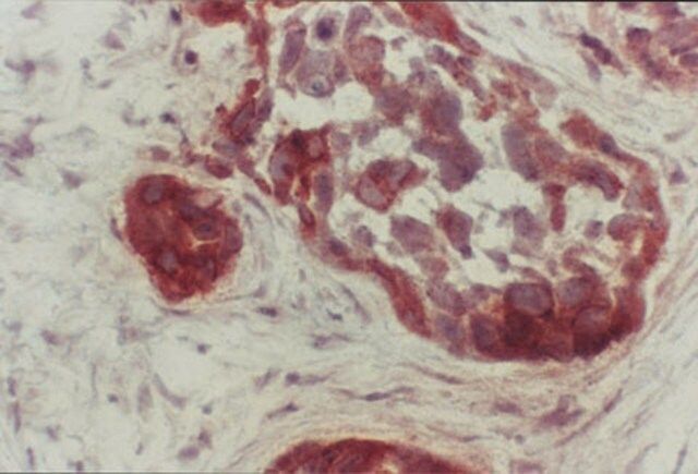
Immunohistochemistry: 1:20 to 1:50 for acetone-fixed, fresh frozen tissue. Not effective for paraffin sections.
Immunoprecipitation 1:10 to 1:20
Protocol for immunohistochemistry of frozen tissue sections on glass slides.
1. Fix sections for 5 minutes with cold acetone.
2. Air dry
3. Wash sections with PBS
4. Add blocking solution (horse serum) for 20 minutes
5. Add diluted PTEN antibody and incubate for 1 hour at room temperature.
6. Wash with PBS
7. Add biotinylated secondary antibody (horse anti-mouse, or equivalent).
8. Incubate for 30 minutes at room temperature.
9. Wash with PBS
10. Detect with ABC (Avidin-Peroxidase-Complex) or equivalent.
11. Wash with PBS
12. Develop with DAB substrate.
13. Hematoxylin dye may be used as a counterstain for visualizing nuclei.Breast tumor tissue gives good staining. Prostate tissue does not stain.Optimal working dilutions must be determined by end user.
Research Sub Category
PI3K, Akt, & mTOR Signaling
目标描述
55 kDa
联系
Replaces: 04-409
外形
Format: Purified
Protein A purified
Protein A Purified mouse immunoglobulin in 20 mM sodium phosphate, 250 mM NaCl, pH. 7.6, with 0.1% sodium azide as a preservative.
储存及稳定性
Maintain for 1 year at 2–8°C from date of shipment. Aliquot to avoid repeated freezing and thawing. For maximum recovery of product, centrifuge the original vial after thawing and prior to removing the cap.
分析说明
Control
Breast tumor tissue
Purified active kinase is Catalogue Number 14-488
其他说明
Concentration: Please refer to the Certificate of Analysis for the lot-specific concentration.
法律信息
CHEMICON is a registered trademark of Merck KGaA, Darmstadt, Germany
免责声明
Unless otherwise stated in our catalog or other company documentation accompanying the product(s), our products are intended for research use only and are not to be used for any other purpose, which includes but is not limited to, unauthorized commercial uses, in vitro diagnostic uses, ex vivo or in vivo therapeutic uses or any type of consumption or application to humans or animals.
基本信息
| eCl@ss | 32160702 |
| NACRES | NA.41 |
产品性质
| 质量水平 | 100 |
| 生物来源 | mouse |
| 抗体形式 | purified immunoglobulin |
| antibody product type | primary antibodies |
| 克隆 | A2b1, monoclonal |
| species reactivity | mouse, human, rat |
| manufacturer/tradename | Chemicon® |
| technique(s) | immunocytochemistry: suitable immunohistochemistry: suitable immunoprecipitation (IP): suitable western blot: suitable |
| 同位素/亚型 | IgG1 |
| 适用性 | not suitable for immunohistochemistry (Paraffin) |
| NCBI登记号 | NM_000314.4 |
| UniProt登记号 | P60484 |
| 运输 | wet ice |
| Gene Information | human ... PTEN(5728), TEP1(7011) |
安全信息
| 储存分类代码 | 10 - Combustible liquids |
| WGK | WGK 2 |
| 闪点(F) | Not applicable |
| 闪点(C) | Not applicable |

Sigma-Aldrich
