产品说明
免疫原
Synthetic peptide directed towards the N terminal region of human RANBP3
序列
Synthetic peptide located within the following region: MADLANEEKPAIAPPVFVFQKDKGQKSPAEQKNLSDSGEEPRGEAEAPHH
外形
Purified antibody supplied in 1x PBS buffer with 0.09% (w/v) sodium azide and 2% sucrose.
免责声明
Unless otherwise stated in our catalog or other company documentation accompanying the product(s), our products are intended for research use only and are not to be used for any other purpose, which includes but is not limited to, unauthorized commercial uses, in vitro diagnostic uses, ex vivo or in vivo therapeutic uses or any type of consumption or application to humans or animals.
基本信息
| MDL编号 | MFCD04118667 |
| NACRES | NA.41 |
产品性质
| 生物来源 | rabbit |
| 质量水平 | 100 |
| 偶联物 | unconjugated |
| 抗体形式 | affinity isolated antibody |
| antibody product type | primary antibodies |
| 克隆 | polyclonal |
| 形式 | buffered aqueous solution |
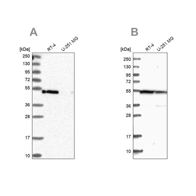
| 分子量 | 62 kDa |
| species reactivity | human |
| 浓度 | 0.5 mg - 1 mg/mL |
| technique(s) | western blot: suitable |
| UniProt登记号 | Q9H6Z4 |
| 运输 | wet ice |
| 储存温度 | −20℃ |
| Gene Information | human ... RANBP3(8498) |
安全信息
| 储存分类代码 | 12 - Non Combustible Liquids |
| WGK | WGK 3 |
| 闪点(F) | Not applicable |
| 闪点(C) | Not applicable |

Sigma-Aldrich
