产品说明
一般描述
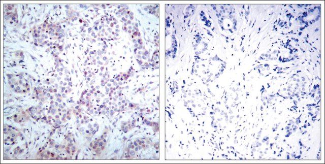
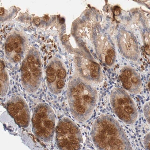
RCL1, which does not have cyclase activity, plays a role in 40S- ribosomal-subunit biogenesis in the early pre-rRNA processing steps at sites A0, A1 and A2 that are required for proper maturation of the 18S RNA.
免疫原
RCL1 (NP_005763, 19-53)
This antibody is generated from rabbits immunized with a KLH conjugated synthetic peptide selected from the N-terminal region of human RCL1.
外形
Purified polyclonal antibody supplied in PBS with 0.09% (W/V) sodium azide.
免责声明
Unless otherwise stated in our catalog or other company documentation accompanying the product(s), our products are intended for research use only and are not to be used for any other purpose, which includes but is not limited to, unauthorized commercial uses, in vitro diagnostic uses, ex vivo or in vivo therapeutic uses or any type of consumption or application to humans or animals.
产品性质
| 生物来源 | rabbit |
| 质量水平 | 200 |
| 偶联物 | unconjugated |
| 抗体形式 | IgG fraction of antiserum |
| antibody product type | primary antibodies |
| 克隆 | polyclonal |
| 形式 | buffered aqueous solution |
| species reactivity | human |
| technique(s) | indirect ELISA: 1:1000 western blot: 1:100-1:500 |
| NCBI登记号 | NP_005763 |
| UniProt登记号 | Q9Y2P8 |
| 运输 | dry ice |
| 储存温度 | −20℃ |
| Gene Information | human ... RCL1(10171) |
安全信息
| 储存分类代码 | 12 - Non Combustible Liquids |
| WGK | nwg |
| 闪点(F) | Not applicable |
| 闪点(C) | Not applicable |

Sigma-Aldrich
