产品说明
一般描述
The highly layered structure of the cerebral cortex is established through the pattern of neuronal cell migrations. The first step is the creation of the primordial layer, the preplate, consisting of radial glial cells and the earliest generated neurons. Among these neurons are the Cajal-Retzius neurons. In the next step, the preplate splits into a superficial (marginal) zone, where the Cajal-Retzius neurons reside, and a deep subplate wherein the neurons form. Neurons migrating from the subplate form the cortical plate. This migration takes place on the radial glial fibers.
The reeler mutant in mouse displays an abnormal pattern of cell migration throughout the cerebral and cerebellar cortices. The preplate forms normally, and the neurons differentiate at the correct times in the ventricular zone. However, instead of forming the normal "inside-out" arrangement of neurons in the cortical plate, the older neurons are found furthest from the ventricular zone, while the younger neurons do not migrate far at all. The reeler cerebral cortex is inverted from that of the wild type mouse.
The defect of the reeler mice appears to be in the production of an extracellular matrix protein by the Cajal-Retzius cells (D′Arcangelo et al., 1995, Nature 374:719-723.; Ogawa et al., 1995 Neuron 14:899-912.) This 388kDa protein is made by wild-type mice but not by the reeler mutants. It is thought that this Reelin protein is crucial for positioning the migrating neuron within the cortical plate (Figure 1). In the absence of Reelin, the migrating neuron would be "lost," and the cortical plate would be abnormal. We do not yet know the mechanisms by which Reelin informs the cells as to their position, how the cell responds to Reelin, and why the absence of reelin should give an "inverted" plate. However, the identification of the protein encoded by the reeler gene should allow us to begin these studies.
特异性
Reelin. The epitope is between amino acids 164 and 189.
免疫原
Epitope: a.a. 164-189
Recombinant reelin amino acids 40-189.
应用
Western blot:
1:250-1:500, In Western blots, reelin appears as three bands ~400 - 450, 300, and 180 - 200 kDa′s.
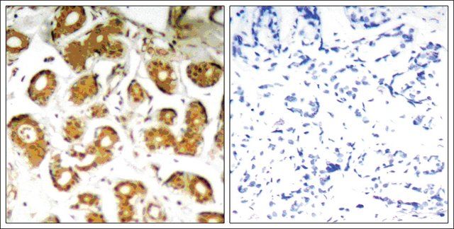
Immunohistochemistry:
1:250-1:500, 4% PFA fixed tissues. A previous lot of this antibody was used in IH.
Optimal working dilutions must be determined by the end user.
This Anti-Reelin Antibody, a.a. 164-189 mreelin, clone 142 is validated for use in IH, WB for the detection of Reelin.
Research Category
Neuroscience
Research Sub Category
Growth Cones & Axon Guidance
质量
Routinely evaluated by Western Blot on mouse brain lysates.
Western Blot Analysis:
1:1000 dilution of this lot detected Reelin on 10 μg of mouse brain lysates.
目标描述
In Western blots, reelin can appear as three bands ~400 - 450, 300, and 180 - 200 kDa′s.
外形
Format: Purified
Purified mouse monoclonal IgG1 in buffer containing 0.02M Phosphate buffer with 0.25M NaCl and 0.1% sodium azide.
Protein A purified
储存及稳定性
Stable for 6 months at 2-8ºC in undiluted aliquots from date of receipt.
分析说明
Control
Mouse liver or kidney
其他说明
Concentration: Please refer to the Certificate of Analysis for the lot-specific concentration.
法律信息
CHEMICON is a registered trademark of Merck KGaA, Darmstadt, Germany
免责声明
Unless otherwise stated in our catalog or other company documentation accompanying the product(s), our products are intended for research use only and are not to be used for any other purpose, which includes but is not limited to, unauthorized commercial uses, in vitro diagnostic uses, ex vivo or in vivo therapeutic uses or any type of consumption or application to humans or animals.
基本信息
| eCl@ss | 32160702 |
| NACRES | NA.41 |
产品性质
| 质量水平 | 100 |
| 生物来源 | mouse |
| 抗体形式 | purified antibody |
| antibody product type | primary antibodies |
| 克隆 | 142, monoclonal |
| species reactivity | vertebrates, mouse, human |
| species reactivity (predicted by homology) | rat |
| manufacturer/tradename | Chemicon® |
| technique(s) | immunohistochemistry: suitable western blot: suitable |
| 同位素/亚型 | IgG1 |
| NCBI登记号 | NM_005045.2 |
| UniProt登记号 | P78509 |
| 运输 | wet ice |
| Gene Information | human ... RELN(5649) |
安全信息
| 储存分类代码 | 10 - Combustible liquids |
| WGK | WGK 2 |
| 闪点(F) | Not applicable |
| 闪点(C) | Not applicable |

Sigma-Aldrich
