产品说明
一般描述
The gene SERPINB1 (leukocyte elastase inhibitor) is mapped to human chromosome 6p25. It belongs to SERPIN superfamily and SERPINB family. SERPINB1 is present in all bone marrow leukocytes.
免疫原
Leukocyte elastase inhibitor recombinant protein epitope signature tag (PrEST)
应用
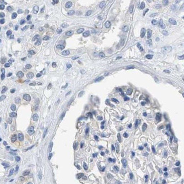
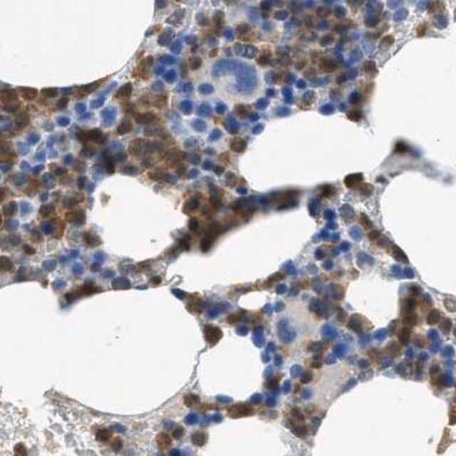
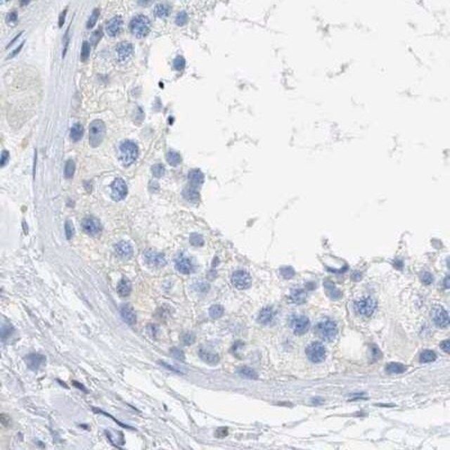
Anti-SERPINB1 antibody produced in rabbit, a Prestige Antibody, is developed and validated by the Human Protein Atlas (HPA) project (www.proteinatlas.org). Each antibody is tested by immunohistochemistry against hundreds of normal and disease tissues. These images can be viewed on the Human Protein Atlas (HPA) site by clicking on the Image Gallery link. The antibodies are also tested using immunofluorescence and western blotting. To view these protocols and other useful information about Prestige Antibodies and the HPA, visit sigma.com/prestige.
生化/生理作用
SERPIN superfamily proteins are mainly involved in suppressing proteolytic activities of serine proteases. SERPINB1 is an inhibitor of granzyme-H (GzmH). The granzyme pathway is important for cytotoxic lymphocytes to remove virus-infected and tumor cells. SERPINB1 suppresses GzmH-mediated cytotoxicity. Presence of SERPINB1 restricts production of NETs (neutrophil extracellular trap), thereby regulating NETosis, a programmed death pathway. It is up-regulated in patients with ulcerative colitis.
特点和优势
Prestige Antibodies® are highly characterized and extensively validated antibodies with the added benefit of all available characterization data for each target being accessible via the Human Protein Atlas portal linked just below the product name at the top of this page. The uniqueness and low cross-reactivity of the Prestige Antibodies® to other proteins are due to a thorough selection of antigen regions, affinity purification, and stringent selection. Prestige antigen controls are available for every corresponding Prestige Antibody and can be found in the linkage section.
Every Prestige Antibody is tested in the following ways:
联系
Corresponding Antigen APREST74613.
外形
Solution in phosphate-buffered saline, pH 7.2, containing 40% glycerol and 0.02% sodium azide
法律信息
Prestige Antibodies is a registered trademark of sigma-aldrich Co. LLC
免责声明
Unless otherwise stated in our catalog or other company documentation accompanying the product(s), our products are intended for research use only and are not to be used for any other purpose, which includes but is not limited to, unauthorized commercial uses, in vitro diagnostic uses, ex vivo or in vivo therapeutic uses or any type of consumption or application to humans or animals.
基本信息
| 人类蛋白质图谱编号 | HPA018871 Human Protein Atlas characterization data |
产品性质
| 生物来源 | rabbit |
| 质量水平 | 100 |
| 偶联物 | unconjugated |
| 抗体形式 | affinity isolated antibody |
| antibody product type | primary antibodies |
| 克隆 | polyclonal |
| 产品线 | Prestige Antibodies® Powered by Atlas Antibodies |
| 形式 | buffered aqueous glycerol solution |
| species reactivity | human |
| 包装 | antibody small pack of 25 μL |
| 增强验证 | orthogonal RNAseq independent Learn more about Antibody Enhanced Validation |
| technique(s) | immunoblotting: 0.04-0.4 μg/mL immunohistochemistry: 1:2500-1:5000 |
| 免疫原序列 | GNWKDKFMKEATTNAPFRLNKKDRKTVKMMYQKKKFAYGYIEDLKCRVLELPYQGEELSMVILLPDDIEDESTGLKKIEEQLTLEKLHEWTKPENLDFIEVNVSLPRFK |
| UniProt登记号 | P30740 |
| 运输 | wet ice |
| 储存温度 | −20℃ |
| Gene Information | human ... SERPINB1(1992) |
安全信息
| 储存分类代码 | 10 - Combustible liquids |
| WGK | WGK 1 |
| 闪点(F) | Not applicable |
| 闪点(C) | Not applicable |

Sigma-Aldrich
