产品说明
一般描述
Solute carrier family 27 member 2 (SLC27A2) is expressed in microsomes and peroxisomes. The gene encoding it is localized on human chromosome 15q21.2. It belongs to the fatty acid transport protein family.
免疫原
Very long-chain acyl-CoA synthetase recombinant protein epitope signature tag (PrEST)
应用
Applications in which this antibody has been used successfully, and the associated peer-reviewed papers, are given below.
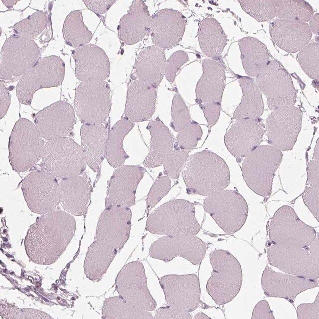
Immunohistochemistry (1 paper)
All Prestige Antibodies®Powered by Atlas Antibodies is developed and validated by the Human Protein Atlas (HPA) project (www.proteinatlas.org). Each antibody is tested by immunohistochemistry against hundreds of normal and disease tissues. These images can be viewed on the Human Protein Atlas (HPA) site by clicking on the Image Gallery link. To view these protocols and other useful information about Prestige Antibodies and the HPA, visit sigma.com/prestige.
生化/生理作用
Solute carrier family 27 member 2 (SLC27A2) has a role in fatty acid transport. It also mediates the activation of fatty acids having a chain length of 22 or more carbons. It is mainly responsible for the production of CoA (coenzyme A) derivatives of n-3 fatty acids (C18:3 and C22:6).
特点和优势
Prestige Antibodies® are highly characterized and extensively validated antibodies with the added benefit of all available characterization data for each target being accessible via the Human Protein Atlas portal linked just below the product name at the top of this page. The uniqueness and low cross-reactivity of the Prestige Antibodies® to other proteins are due to a thorough selection of antigen regions, affinity purification, and stringent selection. Prestige antigen controls are available for every corresponding Prestige Antibody and can be found in the linkage section.
Every Prestige Antibody is tested in the following ways:
联系
Corresponding Antigen APREST71195.
外形
Solution in phosphate-buffered saline, pH 7.2, containing 40% glycerol and 0.02% sodium azide
法律信息
Prestige Antibodies is a registered trademark of sigma-aldrich Co. LLC
免责声明
Unless otherwise stated in our catalog or other company documentation accompanying the product(s), our products are intended for research use only and are not to be used for any other purpose, which includes but is not limited to, unauthorized commercial uses, in vitro diagnostic uses, ex vivo or in vivo therapeutic uses or any type of consumption or application to humans or animals.
基本信息
| 人类蛋白质图谱编号 | HPA026089 Human Protein Atlas characterization data |
产品性质
| 生物来源 | rabbit |
| 质量水平 | 100 |
| 偶联物 | unconjugated |
| 抗体形式 | affinity isolated antibody |
| antibody product type | primary antibodies |
| 克隆 | polyclonal |
| 产品线 | Prestige Antibodies® Powered by Atlas Antibodies |
| 形式 | buffered aqueous glycerol solution |
| species reactivity | human |
| 包装 | antibody small pack of 25 μL |
| 增强验证 | orthogonal RNAseq Learn more about Antibody Enhanced Validation |
| technique(s) | immunohistochemistry: 1:1000-1:2500 |
| 免疫原序列 | SLLHCFQCCGAKVLLVSPELQAAVEEILPSLKKDDVSIYYVSRTSNTDGIDSFLDKVDEVSTEPIPESWRSEVTFSTPALYIYTSGTTGLPKAAMITHQRIWYGTGLTFVSGLKADDVIYITLPFYHSAALLIGIHGCIVAGAT |
| UniProt登记号 | O14975 |
| 运输 | wet ice |
| 储存温度 | −20℃ |
| Gene Information | human ... SLC27A2(11001) |
安全信息
| 储存分类代码 | 10 - Combustible liquids |
| WGK | WGK 1 |
| 闪点(F) | Not applicable |
| 闪点(C) | Not applicable |

Sigma-Aldrich
