产品说明
一般描述
The protein encoded by this gene is a heat stable, nuclear protein and functions as a molecular chaperone. It is thought to regulate dimerization, DNA binding, and transcriptional activity of basic region-leucine zipper (bZIP) proteins. [provided by RefSeq, Jul 2008]
免疫原
A synthesized peptide derived from human THOC4/THOC4/ALYREFREF
外形
Buffer: PBS with 0.02% sodium azide,0.05% BSA,50% glycerol,pH7.3.
产品性质
| 生物来源 | rabbit |
| 质量水平 | 100 |
| antibody product type | primary antibodies |
| 克隆 | monoclonal |
| 形式 | liquid |
| species reactivity | human, rat, mouse |
| 浓度 | 0.41 mg/mL |
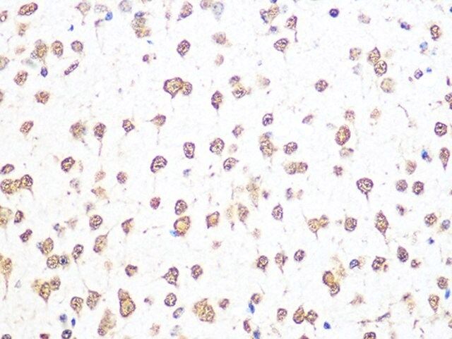
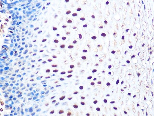
| technique(s) | immunohistochemistry: 1:50-1:200 western blot: 1:500-1:2000 |
| UniProt登记号 | Q86V81 |
| 运输 | wet ice |
| 储存温度 | −20℃ |
| Gene Information | human ... ALYREF(10189) |
安全信息
| 闪点(F) | Not applicable |
| 闪点(C) | Not applicable |

Sigma-Aldrich
