产品说明
一般描述
Transmembrane protein 18 (TMEM18) is a transcription repressor and cell migration modulator which enhances the glioma-specific migration ability of neural stem cells (NSC) and neural precursor cells (NPC). Recent studies have shown that overexpression of TMEM18 provides NSCs and neural precursors an increased migration capacity towards glioblastoma cells, while functional inactivation of the gene resulted in an almost complete loss of migration activity. This evidence implies that TMEM18 could be a potential target in NSC-based glioma therapy. Other studies suggest that TMEM18 loci is associated with higher than normal body mass index (BMI) and obesity, and may play a CNS-related role in predisposition to obesity.
免疫原
KLH-conjugated linear peptide corresponding to human TMEM18.
应用
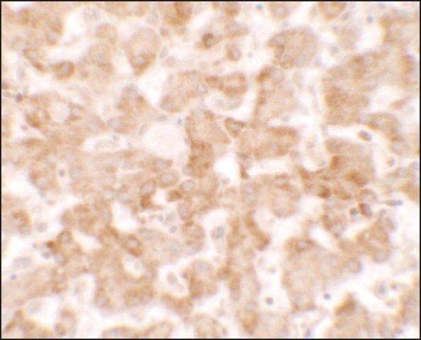
Immunohistochemistry Analysis: 2.5 µg/mL from a representative lot detected TMEM18 in mouse brain tissue.
Immunofluorescence Analysis: 20 μg/mL from a representative lot detected TMEM18 in mouse brain tissue.
Research Sub Category
Sensory & PNS
Anti-TMEM18 Antibody is a highly specific rabbit polyclonal antibody, that targets TMEM18 & has been tested in western blotting, IHC & Immunofluorescence.
Research Category
Neuroscience
质量
Evaluated by Western Blotting in rat brain tissue lysate.
Western Blotting Analysis: 1 µg/mL of this antibody detected TMEM18 in 15 µg of rat brain tissue lysate.
目标描述
~27 kDa observed. Uniprot describes 2 isoforms at ~15 kDa and ~16 kDa
外形
Purified rabbit polyclonal in buffer containing PBS with up to 0.1% sodium azide.
Antigen Affinity Purified
储存及稳定性
Stable for 1 year at 2-8°C from date of receipt.
分析说明
Control
Rat brain tissue lysate
其他说明
Concentration: Please refer to the Certificate of Analysis for the lot-specific concentration.
免责声明
Unless otherwise stated in our catalog or other company documentation accompanying the product(s), our products are intended for research use only and are not to be used for any other purpose, which includes but is not limited to, unauthorized commercial uses, in vitro diagnostic uses, ex vivo or in vivo therapeutic uses or any type of consumption or application to humans or animals.
基本信息
| eCl@ss | 32160702 |
| NACRES | NA.41 |
产品性质
| 生物来源 | rabbit |
| 质量水平 | 100 |
| 抗体形式 | affinity isolated antibody |
| antibody product type | primary antibodies |
| 克隆 | polyclonal |
| 纯化方式 | affinity chromatography |
| species reactivity | mouse, rat |
| species reactivity (predicted by homology) | human (immunogen homology) |
| technique(s) | immunofluorescence: suitable immunohistochemistry: suitable western blot: suitable |
| UniProt登记号 | Q96B42 |
| 运输 | wet ice |
安全信息
| 储存分类代码 | 10 - Combustible liquids |
| WGK | WGK 2 |
| 闪点(F) | Not applicable |
| 闪点(C) | Not applicable |

Sigma-Aldrich
