产品说明
一般描述
Transmembrane serine protease 2 (TMPRSS2) belongs to the membrane-anchored serine proteases (MASP) family, which is mainly expressed in the prostate. The gene TMPRSS2 codes for a prostate-specific androgen-responsive protease. This multimeric protein TMPRSS2 consists of a serine protease domain, a scavenger receptor cysteine-rich (SRCR) domain, a low-density lipoprotein receptor class A (LDLRA) domain and a transmembrane domain. The TMPRSS2 gene is located on human chromosome 21q22.3.
免疫原
transmembrane protease, serine 2
应用
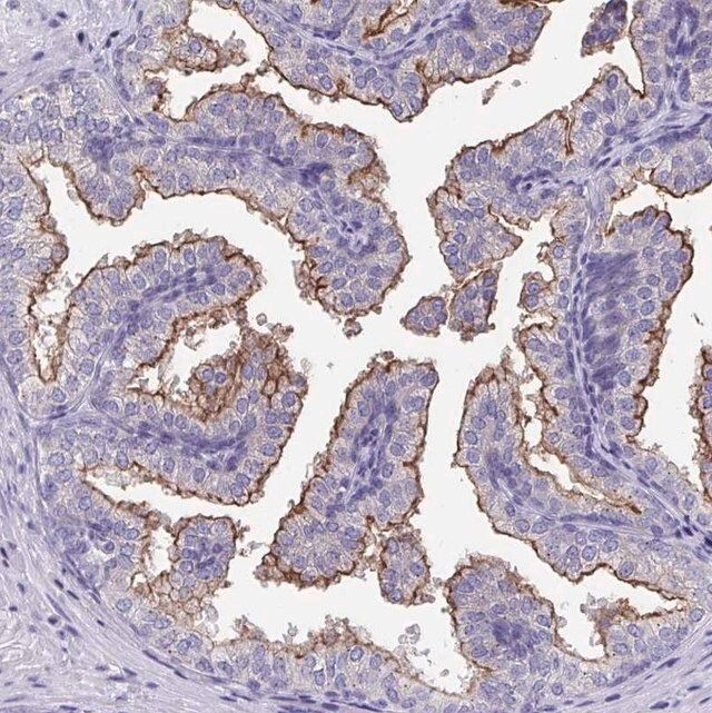
Anti-TMPRSS2 antibody produced in rabbit has been used for immunohistochemistry at a dilution of 1:200-1:500. It has also been used in western blotting at a working concentration of 0.04-0.4 μg/ml.
All Prestige Antibodies Powered by Atlas Antibodies are developed and validated by the Human Protein Atlas (HPA) project (www.proteinatlas.org)and as a result, are supported by the most extensive characterization in the industry.
The Human Protein Atlas project can be subdivided into three efforts: Human Tissue Atlas, Cancer Atlas, and Human Cell Atlas. The antibodies that have been generated in support of the Tissue and Cancer Atlas projects have been tested by immunohistochemistry against hundreds of normal and disease tissues and through the recent efforts of the Human Cell Atlas project, many have been characterized by immunofluorescence to map the human proteome not only at the tissue level but now at the subcellular level. These images and the collection of this vast data set can be viewed on the Human Protein Atlas (HPA) site by clicking on the Image Gallery link. To view these protocols and other useful information about Prestige Antibodies and the HPA, visit sigma.com/prestige.
生化/生理作用
Transmembrane serine protease 2 (TMPRSS2) expression level is related to prostate cancer progression. This protein stimulates diverse coronaviruses (CoVs), human metapneumovirus, parainfluenza virus and hepatitis C virus in cell culture. It might lead to a viral spread in the host. TMPRSS2-specific inhibitors exhibit a broad antiviral effect. TMPRSS2 cleaves and stimulates the influenza virus hemagglutinin (HA). It is employed for S protein priming and is known to inhibit the host cell entry of severe acute respiratory syndrome coronavirus 2 (SARS-CoV-2).
特点和优势
Prestige Antibodies® are highly characterized and extensively validated antibodies with the added benefit of all available characterization data for each target being accessible via the Human Protein Atlas portal linked just below the product name at the top of this page. The uniqueness and low cross-reactivity of the Prestige Antibodies® to other proteins are due to a thorough selection of antigen regions, affinity purification, and stringent selection. Prestige antigen controls are available for every corresponding Prestige Antibody and can be found in the linkage section.
Every Prestige Antibody is tested in the following ways:
联系
Corresponding Antigen APREST87138.
外形
Solution in phosphate buffered saline, pH 7.2, containing 40% glycerol and 0.02% sodium azide.
法律信息
Prestige Antibodies is a registered trademark of sigma-aldrich Co. LLC
免责声明
Unless otherwise stated in our catalog or other company documentation accompanying the product(s), our products are intended for research use only and are not to be used for any other purpose, which includes but is not limited to, unauthorized commercial uses, in vitro diagnostic uses, ex vivo or in vivo therapeutic uses or any type of consumption or application to humans or animals.
基本信息
| 人类蛋白质图谱编号 | HPA035787 Human Protein Atlas characterization data |
产品性质
| 生物来源 | rabbit |
| 质量水平 | 100 |
| 偶联物 | unconjugated |
| 抗体形式 | affinity isolated antibody |
| antibody product type | primary antibodies |
| 克隆 | polyclonal |
| 产品线 | Prestige Antibodies® Powered by Atlas Antibodies |
| 形式 | buffered aqueous glycerol solution |
| species reactivity | human |
| 包装 | antibody small pack of 25 μL |
| 增强验证 | orthogonal RNAseq recombinant expression Learn more about Antibody Enhanced Validation |
| technique(s) | immunoblotting: 0.04-0.4 μg/mL immunohistochemistry: 1:200-1:500 |
| 免疫原序列 | GSPPAIGPYYENHGYQPENPYPAQPTVVPTVYEVHPAQYYPSPVPQYAPRVLTQASNPVVCTQPKSPSGTVCTSKT |
| UniProt登记号 | O15393 |
| application(s) | research pathology |
| 运输 | wet ice |
| 储存温度 | −20℃ |
| Gene Information | human ... TMPRSS2(7113) |
安全信息
| 储存分类代码 | 10 - Combustible liquids |
| WGK | WGK 1 |

Sigma-Aldrich
