产品说明
一般描述
Solute carrier family 18 member A2 (SLC18A2) or vesicular monoamine transporter 2 (VMAT2) is a transmembrane protein that acts at nerve terminals. It is expressed in platelets and in central, peripheral and enteric neurons. The gene encoding SLC18A2 consists of 16 exons and is localized on human chromosome 10q25.
免疫原
Peptide with sequence C-SYPIGEDEESESD from the C Terminus of the protein sequence according to NP_003045.2.
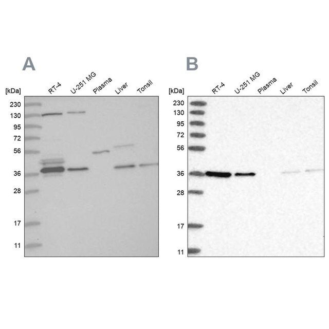
应用
Applications in which this antibody has been used successfully, and the associated peer-reviewed papers, are given below.
Western Blotting (1 paper)
生化/生理作用
Solute carrier family 18 member A2 (SLC18A2) modulates the release of neurotransmitters like dopamine, serotonin and γ-amino butyric acid. It has a role in the accumulation of neurotransmitters in synaptic vesicles to prevent toxicity. SLC18A2 has been linked to tardive dyskinesia and may be associated with Parkinson′s disease.
特点和优势
Evaluate our antibodies with complete peace of mind. If the antibody does not perform in your application, we will issue a full credit or replacement antibody. Learn more.
外形
Supplied at 0.5 mg/mL in Tris saline with 0.02% sodium azide and 0.5% bovine serum albumin.
免责声明
Unless otherwise stated in our catalog or other company documentation accompanying the product(s), our products are intended for research use only and are not to be used for any other purpose, which includes but is not limited to, unauthorized commercial uses, in vitro diagnostic uses, ex vivo or in vivo therapeutic uses or any type of consumption or application to humans or animals.
基本信息
| MDL编号 | MFCD02097601 |
| NACRES | NA.41 |
产品性质
| 质量水平 | 100 |
| 生物来源 | goat |
| 偶联物 | unconjugated |
| 抗体形式 | affinity isolated antibody |
| antibody product type | primary antibodies |
| 克隆 | polyclonal |
| 形式 | buffered aqueous solution |
| species reactivity | human, rat |
| technique(s) | indirect ELISA: suitable western blot: suitable |
| UniProt登记号 | Q05940 |
| 运输 | dry ice |
| 储存温度 | −20℃ |
| Gene Information | human ... SLC18A2(6571) |
安全信息
| 储存分类代码 | 10 - Combustible liquids |
| WGK | WGK 2 |
| 闪点(F) | Not applicable |
| 闪点(C) | Not applicable |

Sigma-Aldrich
