产品说明
免疫原
Full length fusion protein of human ZNRD1
特点和优势
Evaluate our antibodies with complete peace of mind. If the antibody does not perform in your application, we will issue a full credit or replacement antibody. Learn more.
外形
Rabbit IgG in pH7.4 PBS, 0.05% NaN3, 40% Glycerol.
基本信息
| NACRES | NA.41 |
产品性质
| 生物来源 | rabbit |
| 质量水平 | 100 |
| 抗体形式 | affinity isolated antibody |
| antibody product type | primary antibodies |
| 克隆 | polyclonal |
| 形式 | buffered aqueous glycerol solution |
| species reactivity | human |
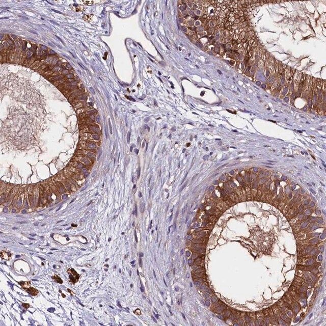
| technique(s) | immunohistochemistry: 1:100-1:200 |
| 登记号 | BC050608 |
| UniProt登记号 | Q9P1U0 |
| 运输 | wet ice |
| 储存温度 | −20℃ |
| Gene Information | human ... ZNRD1(30834) |
安全信息
| 储存分类代码 | 12 - Non Combustible Liquids |
| WGK | WGK 1 |
| 闪点(F) | Not applicable |
| 闪点(C) | Not applicable |

Sigma-Aldrich
