产品说明
免疫原
ZPBP2 (ENSP00000335384, 1 a.a. ~ 315 a.a) full-length human protein.
Sequence
MRTCVLLSAVLWCLTGDKIYVELHQNSPVLICMDFKLSKKEIVDPTYLWIGPNEKTLTGNNRINITETGQLMVKDFLEPLSGLYTCTLSYKTVKAETQEEKTVKKRYDFMVFAYREPDYSYQMAVRFTTRSCIGRYNDVFFRVLKKILDSLISDLSCHVIEPSYKCHSVEIPEHGLIHELFIAFQVNPFAPGWKGACNGSVDCEDTTNHNILQARDRIEDFFRSQAYIFYHNFNKTLPAMHFVDHSLQVVRLDSCRPGFGKNERLHSNCASCCVVCSPATFSPDVNVTCQTCVSVLTYGAKSCPQTSNKNQQYED
外形
Solution in phosphate buffered saline, pH 7.4
基本信息
| NACRES | NA.41 |
产品性质
| 质量水平 | 100 |
| 生物来源 | mouse |
| 偶联物 | unconjugated |
| 抗体形式 | purified immunoglobulin |
| antibody product type | primary antibodies |
| 克隆 | polyclonal |
| 形式 | buffered aqueous solution |
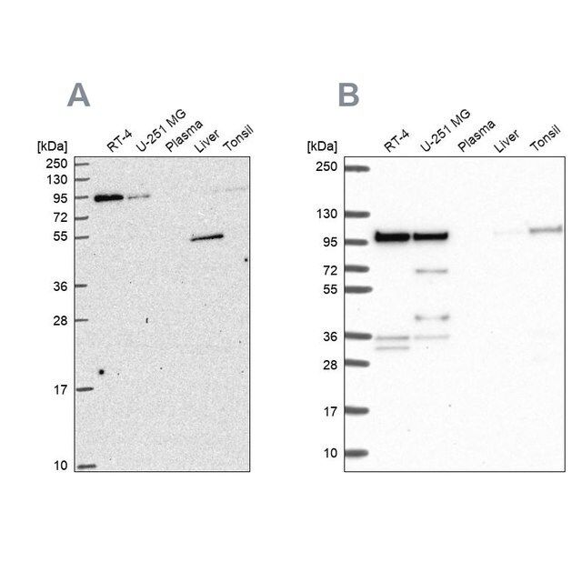
| 分子量 | antigen ~36 kDa |
| species reactivity | human |
| technique(s) | western blot: 1 μg/mL |
| NCBI登记号 | ENST00000348931 |
| UniProt登记号 | Q6X784 |
| 运输 | dry ice |
| 储存温度 | −20℃ |
| Gene Information | human ... ZPBP2(124626) |
安全信息
| 储存分类代码 | 13 - Non Combustible Solids |
| WGK | WGK 1 |
| 闪点(F) | Not applicable |
| 闪点(C) | Not applicable |

Sigma-Aldrich
