产品说明
免疫原
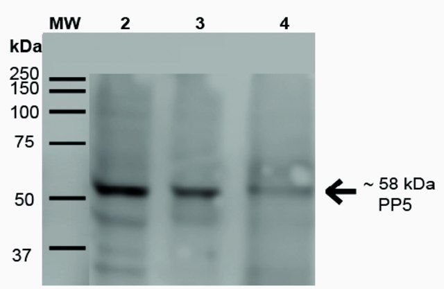
Full length human PP5 protein
外形
PBS pH 7.4, 50% glyercol, 0.09% Sodium Azide
免责声明
Unless otherwise stated in our catalog or other company documentation accompanying the product(s), our products are intended for research use only and are not to be used for any other purpose, which includes but is not limited to, unauthorized commercial uses, in vitro diagnostic uses, ex vivo or in vivo therapeutic uses or any type of consumption or application to humans or animals.
基本信息
| NACRES | NA.45 |
产品性质
| 生物来源 | mouse |
| 偶联物 | phycoerythrin (R-PE) conjugate |
| 抗体形式 | purified immunoglobulin |
| antibody product type | primary antibodies |
| 克隆 | 2E11, monoclonal |
| 形式 | buffered aqueous solution |
| 分子量 | 58kDa |
| species reactivity | human |
| 浓度 | 1.0 mg/mL |
| technique(s) | immunofluorescence: 1:100 western blot: 1:1000 |
| 同位素/亚型 | IgG2a |
| NCBI登记号 | NP_006238.1 |
| 运输 | wet ice |
| 储存温度 | −20℃ |
| Gene Information | human ... PPP5C(5536) |
安全信息
| 储存分类代码 | 10 - Combustible liquids |
| WGK | WGK 2 |

Sigma-Aldrich
