产品说明
一般描述
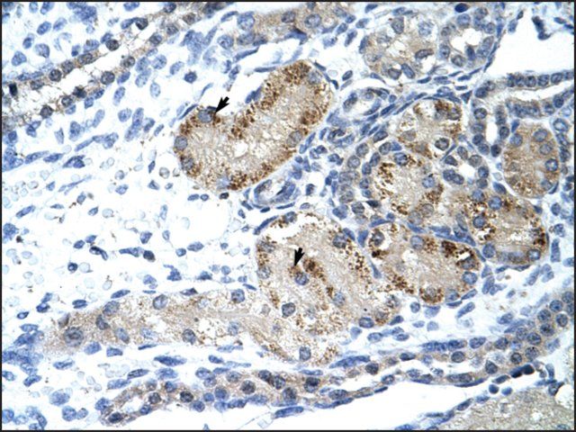
Anti-GGT1, mouse monoclonal, clone 1F9, recognizes the ~60 kDa GGT1 protein in NIH3T3 cells and human testes tissue. It is validated for Western blotting & immunohistochemistry on paraffin sections.
Recognizes the ~60 kDa GGT1 protein in NIH3T3 cells and human testes tissue.
Purified mouse monoclonal antibody. Recognizes the ~60 kDa GGT1 protein.
免疫原
A recombinant polypeptide corresponding to amino acids 381-471 of human GGT1, expressed as a GST fusion protein
警告
Toxicity: Regulatory Review (Z)
分析说明
Positive Control
NIH3T3 cells, Human testes tissue
法律信息
CALBIOCHEM is a registered trademark of Merck KGaA, Darmstadt, Germany
产品性质
| 质量水平 | 100 |
| 生物来源 | mouse |
| 抗体形式 | purified antibody |
| antibody product type | primary antibodies |
| 克隆 | 1F9, monoclonal |
| 形式 | liquid |
| 不包含 | preservative |
| species reactivity | human, mouse |
| manufacturer/tradename | Calbiochem® |
| 储存条件 | OK to freeze avoid repeated freeze/thaw cycles |
| 同位素/亚型 | IgG2α |
| 运输 | wet ice |
| 储存温度 | −20℃ |
安全信息
| 储存分类代码 | 12 - Non Combustible Liquids |
| WGK | nwg |
| 闪点(F) | Not applicable |
| 闪点(C) | Not applicable |

Sigma-Aldrich
