产品说明
免疫原
diaphanous homolog 2 (Drosophila), recombinant protein epitope signature tag (PrEST).
Sequence
GGSEEPGGGRSNKRSAGNRAANEEETKNKPKLNIQIKTLADDVRDRITSFRKSTVKKEKPLIQHPIDSQVAMSEFPAAQPLYDERSLNLSEKEVLDLFEKMMEDMNLNEEKKAPLRNKDFTTKREMVVQYISAT
Epitope
Binds to an epitope located within the peptide sequence IKTLADDVRDRITSF as determined by overlapping synthetic peptides.
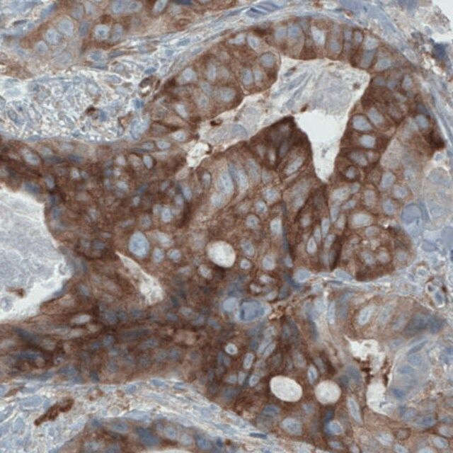
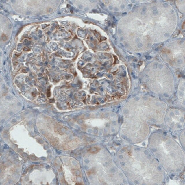
应用
All Prestige Antibodies Powered by Atlas Antibodies are developed and validated by the Human Protein Atlas (HPA) project (www.proteinatlas.org)and as a result, are supported by the most extensive characterization in the industry.
The Human Protein Atlas project can be subdivided into three efforts: Human Tissue Atlas, Cancer Atlas, and Human Cell Atlas. The antibodies that have been generated in support of the Tissue and Cancer Atlas projects have been tested by immunohistochemistry against hundreds of normal and disease tissues and through the recent efforts of the Human Cell Atlas project, many have been characterized by immunofluorescence to map the human proteome not only at the tissue level but now at the subcellular level. These images and the collection of this vast data set can be viewed on the Human Protein Atlas (HPA) site by clicking on the Image Gallery link. To view these protocols and other useful information about Prestige Antibodies and the HPA, visit sigma.com/prestige.
特点和优势
Prestige Antibodies® are highly characterized and extensively validated antibodies with the added benefit of all available characterization data for each target being accessible via the Human Protein Atlas portal linked just below the product name at the top of this page. The uniqueness and low cross-reactivity of the Prestige Antibodies® to other proteins are due to a thorough selection of antigen regions, affinity purification, and stringent selection. Prestige antigen controls are available for every corresponding Prestige Antibody and can be found in the linkage section.
Every Prestige Antibody is tested in the following ways:
联系
Corresponding Antigen APREST74314.
外形
Phospate buffered saline, pH 7.2, containing 40% glycerol and 0.02% sodium azide
法律信息
Prestige Antibodies is a registered trademark of sigma-aldrich Co. LLC
免责声明
Unless otherwise stated in our catalog or other company documentation accompanying the product(s), our products are intended for research use only and are not to be used for any other purpose, which includes but is not limited to, unauthorized commercial uses, in vitro diagnostic uses, ex vivo or in vivo therapeutic uses or any type of consumption or application to humans or animals.
基本信息
| 人类蛋白质图谱编号 | AMAB90857 Human Protein Atlas characterization data |
产品性质
| 质量水平 | 100 |
| 生物来源 | mouse |
| 偶联物 | unconjugated |
| 抗体形式 | purified immunoglobulin |
| antibody product type | primary antibodies |
| 克隆 | CL1113, monoclonal |
| 产品线 | Prestige Antibodies® Powered by Atlas Antibodies |
| 形式 | buffered aqueous glycerol solution |
| species reactivity | human |
| 包装 | antibody small pack of 25 μL |
| 增强验证 | RNAi knockdown Learn more about Antibody Enhanced Validation |
| technique(s) | immunoblotting: 1 μg/mL immunohistochemistry: 1:200- 1:500 |
| 同位素/亚型 | IgG1 |
| 基因组数据库 |人类登记号 | ENSG00000147202 |
| UniProt登记号 | O60879 |
| 运输 | wet ice |
| 储存温度 | −20℃ |
| Gene Information | human ... DIAPH2(1730) |
安全信息
| 储存分类代码 | 10;12 - Combustible liquids;Non Combustible Liquids |
| WGK | WGK 1 |

Sigma-Aldrich
