产品说明
一般描述
Ataxin-1 is a member of the ATXN1 protein family and contains a single AXH domain. It is a neurodegenerative disorder protein thought to have a role in the metabolism of RNA as it has been shown to localize to the RNA and transcription dependent inclusions within the nucleus. A mutation of Ataxin-1 is the cause of spinocerebellar ataxia type-1 (SCA1), a progressive, neurodegenerative disease that is autosomal dominant and primarily affects the Purjinke cells found in brain stem neuronal populations and the cerebellum. Expression of Ataxin-1 is almost ubiquitous, except in the brain where it is isolated to populations of neurons.
免疫原
Linear peptide corresponding to mouse Ataxin-1.
应用
Anti-Ataxin-1 Antibody, 11NQ, clone N76/8 detects level of Ataxin-1 & has been published & validated for use in IH.
Research Category
Neuroscience
Western Blot Analysis: A previous lot was used by an independent laboratory in rat brain tissue lysate. (James Trimmer, UC Davis/NIH NeuroMab Facility)
Immunohistochemistry Analysis: 1:500 dilution from a previous lot detected Ataxin-1 in rat cerebral cortex tissue.
Research Sub Category
Neurodegenerative Diseases
质量
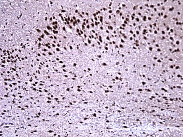
Evaluated by Immunohistochemistry in rat hippocampus tissue.
Immunohistochemistry Analysis: 1:500 dilution of this antibody detected Ataxin-1 in rat hippocampus tissue.
目标描述
~ 85 kDa observed
外形
Purified mouse monoclonal IgG2bκ in buffer containing 0.1 M Tris-Glycine (pH 7.4), 150 mM NaCl with 0.05% sodium azide.
Format: Purified
Protein G
储存及稳定性
Stable for 1 year at 2-8°C from date of receipt.
分析说明
Control
Rat hippocampus tissue
其他说明
Concentration: Please refer to the Certificate of Analysis for the lot-specific concentration.
免责声明
Unless otherwise stated in our catalog or other company documentation accompanying the product(s), our products are intended for research use only and are not to be used for any other purpose, which includes but is not limited to, unauthorized commercial uses, in vitro diagnostic uses, ex vivo or in vivo therapeutic uses or any type of consumption or application to humans or animals.
基本信息
| eCl@ss | 32160702 |
| NACRES | NA.41 |
产品性质
| 质量水平 | 100 |
| 生物来源 | mouse |
| 抗体形式 | purified immunoglobulin |
| antibody product type | primary antibodies |
| 克隆 | N76/8, monoclonal |
| species reactivity | rat |
| species reactivity (predicted by homology) | mouse (immunogen homology) |
| technique(s) | immunohistochemistry: suitable |
| 同位素/亚型 | IgG2bκ |
| NCBI登记号 | NP_033150 |
| UniProt登记号 | P54254 |
| 运输 | wet ice |
| Gene Information | human ... ATXN1(6310) |
安全信息
| 储存分类代码 | 12 - Non Combustible Liquids |
| WGK | WGK 1 |
| 闪点(F) | Not applicable |
| 闪点(C) | Not applicable |

Sigma-Aldrich
