产品说明
外形
Supplied in PBS with 0.09% (W/V) sodium azide
免责声明
Unless otherwise stated in our catalog or other company documentation accompanying the product(s), our products are intended for research use only and are not to be used for any other purpose, which includes but is not limited to, unauthorized commercial uses, in vitro diagnostic uses, ex vivo or in vivo therapeutic uses or any type of consumption or application to humans or animals.
基本信息
| NACRES | NA.41 |
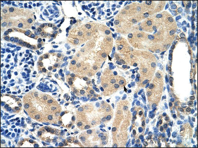
产品性质
| 生物来源 | rabbit |
| 质量水平 | 100 |
| 抗体形式 | affinity isolated antibody |
| antibody product type | primary antibodies |
| 克隆 | polyclonal |
| 形式 | buffered aqueous solution |
| 分子量 | 127459 Da |
| species reactivity | human |
| technique(s) | western blot: 1:1000 |
| NCBI登记号 | NP_055238.1 |
| UniProt登记号 | Q9UHB7 |
| 运输 | wet ice |
| 储存温度 | −20℃ |
| Gene Information | human ... AFF4(27125) |
安全信息
| 储存分类代码 | 12 - Non Combustible Liquids |
| 闪点(F) | Not applicable |
| 闪点(C) | Not applicable |

Sigma-Aldrich
