产品说明
免疫原
Synthetic peptide directed towards the middle region of human FECH
生化/生理作用
FECH is localized to the mitochondrion, where it catalyzes the insertion of the ferrous form of iron into protoporphyrin IX in the heme synthesis pathway. Mutations in this gene are associated with erythropoietic protoporphyria. Two transcript variants encoding different isoforms have been found for this gene.The protein encoded by this gene is localized to the mitochondrion, where it catalyzes the insertion of the ferrous form of iron into protoporphyrin IX in the heme synthesis pathway. Mutations in this gene are associated with erythropoietic protoporphyria. Two transcript variants encoding different isoforms have been found for this gene.
序列
Synthetic peptide located within the following region: KRSEVVILFSAHSLPMSVVNRGDPYPQEVSATVQKVMERLEYCNPYRLVW
外形
Purified antibody supplied in 1x PBS buffer with 0.09% (w/v) sodium azide and 2% sucrose.
免责声明
Unless otherwise stated in our catalog or other company documentation accompanying the product(s), our products are intended for research use only and are not to be used for any other purpose, which includes but is not limited to, unauthorized commercial uses, in vitro diagnostic uses, ex vivo or in vivo therapeutic uses or any type of consumption or application to humans or animals.
基本信息
| NACRES | NA.41 |
产品性质
| 生物来源 | rabbit |
| 质量水平 | 100 |
| 偶联物 | unconjugated |
| 抗体形式 | affinity isolated antibody |
| antibody product type | primary antibodies |
| 克隆 | polyclonal |
| 形式 | buffered aqueous solution |
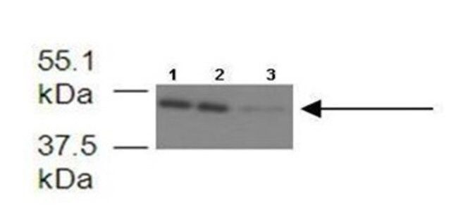
| 分子量 | 42kDa |
| species reactivity | human |
| 浓度 | 0.5 mg - 1 mg/mL |
| technique(s) | immunoblotting: suitable |
| NCBI登记号 | NM_000140 |
| UniProt登记号 | P22830 |
| 运输 | wet ice |
| 储存温度 | −20℃ |
| Gene Information | human ... FECH(2235) |
安全信息
| 储存分类代码 | 12 - Non Combustible Liquids |
| WGK | WGK 3 |
| 闪点(F) | Not applicable |
| 闪点(C) | Not applicable |

Sigma-Aldrich
