产品说明
一般描述
RNF141 is a zinc finger protein that is expressed in human testis. Studies in mice have revealed that RNF141 may have a role in spermatogenesis as a testicular transcription factor. It may be involved in vertebrate development, including the dorsoventral patterning of zebrafish embryos.
Rabbit Anti-RNF141 antibody recognizes canine, bovine, human, mouse, and rat RNF141.
免疫原
Synthetic peptide directed towards the middle region of human RNF141
应用
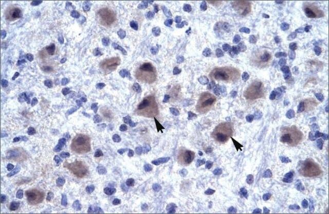
Rabbit Anti-RNF141 antibody is suitable for western blot (2 μg/ml) and IHC (4-8 μg/ml) applications.
生化/生理作用
The protein encoded by RNF141 contains a RING finger, a motif known to be involved in protein-DNA and protein-protein interactions. Abundant expression of this gene was found in the testicular tissue of fertile men, but was not detected in azoospermic patients. Studies of the mouse counterpart suggest that this gene may function as a testis specific transcription factor during spermatogenesis.
序列
Synthetic peptide located within the following region: RIMNLYQFIQLYKDITSQAAGVLAQSSTSEEPDENSSSVTSCQASLWMGR
外形
Purified antibody supplied in 1x PBS buffer with 0.09% (w/v) sodium azide and 2% sucrose.
免责声明
Unless otherwise stated in our catalog or other company documentation accompanying the product(s), our products are intended for research use only and are not to be used for any other purpose, which includes but is not limited to, unauthorized commercial uses, in vitro diagnostic uses, ex vivo or in vivo therapeutic uses or any type of consumption or application to humans or animals.
基本信息
| NACRES | NA.41 |
产品性质
| 生物来源 | rabbit |
| 质量水平 | 100 |
| 偶联物 | unconjugated |
| 抗体形式 | affinity isolated antibody |
| antibody product type | primary antibodies |
| 克隆 | polyclonal |
| 形式 | buffered aqueous solution |
| 分子量 | 26 kDa |
| species reactivity | human, mouse |
| 浓度 | 0.5 mg - 1 mg/mL |
| technique(s) | immunohistochemistry: suitable western blot: suitable |
| NCBI登记号 | NP_057506 |
| UniProt登记号 | Q8WVD5 |
| 运输 | wet ice |
| 储存温度 | −20℃ |
| Gene Information | human ... RNF141(50862) |
安全信息
| 储存分类代码 | 12 - Non Combustible Liquids |
| WGK | WGK 3 |
| 闪点(F) | Not applicable |
| 闪点(C) | Not applicable |

Sigma-Aldrich
